Antibody data
- Antibody Data
- Antigen structure
- References [0]
- Comments [0]
- Validations
- Western blot [3]
- Immunocytochemistry [2]
- Immunohistochemistry [1]
Submit
Validation data
Reference
Comment
Report error
- Product number
- GTX102571 - Provider product page

- Provider
- GeneTex
- Proper citation
- GeneTex Cat#GTX102571, RRID:AB_1950259
- Product name
- FAST antibody
- Antibody type
- Polyclonal
- Reactivity
- Human, Mouse, Rat
- Host
- Rabbit
No comments: Submit comment
Supportive validation
- Submitted by
- GeneTex (provider)
- Main image

- Experimental details
- FAST antibody detects FASTK protein by Western blot analysis.A. 30 ?g 293T whole cell lysate/extractB. 30 ?g A431 whole cell lysate/extract C. 30 ?g HeLa whole cell lysate/extract D. 30 ?g HepG2 whole cell lysate/extract E. 30 ?g A375 whole cell lysate/extract7.5 % SDS-PAGEFAST antibody (GTX102571) dilution: 1:1000
- Submitted by
- GeneTex (provider)
- Main image

- Experimental details
- Sample (30 ug of whole cell lysate) A:NIH-3T37.5% SDS PAGE GTX102571 diluted at 1:1000
- Submitted by
- GeneTex (provider)
- Main image

- Experimental details
- FAST antibody detects FASTK protein by Western blot analysis.A. 30 ?g PC-12 whole cell lysate/extract7.5 % SDS-PAGEFAST antibody (GTX102571) dilution: 1:1000
Supportive validation
- Submitted by
- GeneTex (provider)
- Main image

- Experimental details
- Immunofluorescence analysis of methanol-fixed HeLa, using FAST (GTX102571) antibody at 1:200 dilution.
- Submitted by
- GeneTex (provider)
- Main image

- Experimental details
- FAST antibody detects FAST protein at mitochondria by immunofluorescent analysis.Sample: HeLa cells were fixed in ice-cold MeOH for 5 min.Green: FAST protein stained by FAST antibody (GTX102571) diluted at 1:1000.Blue: Hoechst 33342 staining.Scale bar = 10 £gm.
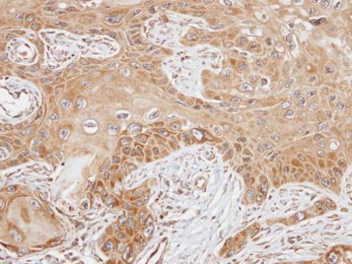
Supportive validation
- Submitted by
- GeneTex (provider)
- Main image

- Experimental details
- Immunohistochemical analysis of paraffin-embedded SCC15 xenograft, using FAST(GTX102571) antibody at 1:100 dilution.