Antibody data
- Antibody Data
- Antigen structure
- References [0]
- Comments [0]
- Validations
- Western blot [1]
- Immunocytochemistry [1]
- Immunohistochemistry [3]
Submit
Validation data
Reference
Comment
Report error
- Product number
- GTX53992 - Provider product page

- Provider
- GeneTex
- Product name
- JAM-A antibody
- Antibody type
- Polyclonal
- Reactivity
- Human, Mouse
- Host
- Rabbit
No comments: Submit comment
Supportive validation
- Submitted by
- GeneTex (provider)
- Main image

- Experimental details
- WB analysis of HeLa lysate using JAM-A antibody.
Supportive validation
- Submitted by
- GeneTex (provider)
- Main image

- Experimental details
- ICC/IF analysis of HeLa cells using JAM-A antibody (green) and DAPI (blue).
Supportive validation
- Submitted by
- GeneTex (provider)
- Main image

- Experimental details
- IHC-P analysis of rat tumor using JAM-A antibody at a dilution of 1:200.
- Submitted by
- GeneTex (provider)
- Main image

- Experimental details
- IHC-P analysis of human esophageal cancer using JAM-A antibody at a dilution of 1:200.
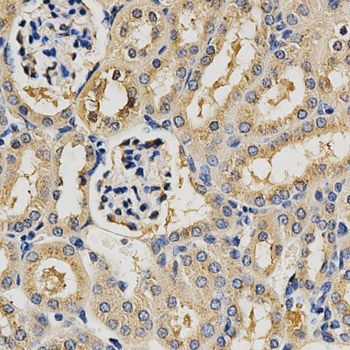
- Submitted by
- GeneTex (provider)
- Main image

- Experimental details
- IHC-P analysis of mouse kidney tissue using JAM-A antibody at a dilution of 1:200.