Antibody data
- Antibody Data
- Antigen structure
- References [0]
- Comments [0]
- Validations
- Western blot [1]
- Immunohistochemistry [1]
Submit
Validation data
Reference
Comment
Report error
- Product number
- PAB0299 - Provider product page

- Provider
- Abnova Corporation
- Proper citation
- Abnova Corporation Cat#PAB0299, RRID:AB_1018926
- Product name
- SSTR5 polyclonal antibody
- Antibody type
- Polyclonal
- Description
- Rabbit polyclonal antibody raised against partial recombinant SSTR5.
- Storage
- Store at 4°C. For long term storage store at -20°C.Aliquot to avoid repeated freezing and thawing.
No comments: Submit comment
Supportive validation
- Submitted by
- Abnova Corporation (provider)
- Main image

- Experimental details
- Western blot analysis of SSTR5 in human pancreas cell lysate in the 1) absence and 2) presence of immunizing peptide. Using SSTR5 polyclonal antibody (Cat # PAB0299) at 0.25 ug/mL .
Supportive validation
- Submitted by
- Abnova Corporation (provider)
- Main image

- Experimental details
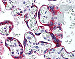
- IHC analysis of human placenta. Using SSTR5 polyclonal antibody (Cat # PAB0299) at 10 ug/mL .
- Validation comment
- Immunohistochemistry