Antibody data
- Antibody Data
- Antigen structure
- References [0]
- Comments [0]
- Validations
- Immunohistochemistry [1]
Submit
Validation data
Reference
Comment
Report error
- Product number
- bs-0108R - Provider product page

- Provider
- Bioss
- Proper citation
- Bioss Cat#bs-0108R, RRID:AB_10859703
- Product name
- Rabbit Anti-Leptin Polyclonal Antibody
- Antibody type
- Polyclonal
- Antigen
- Leptin
- Description
- Purified by Protein A.
- Reactivity
- Mouse, Rat
- Host
- Rabbit
- Conjugate
- Unconjugated
- Isotype
- IgG
- Vial size
- 100ul
- Concentration
- 1ug/ul
- Storage
- Aqueous buffered solution containing 100ug/ml BSA, 50% glycerol and 0.09% sodium azide. Store at -20°C for 12 months.
No comments: Submit comment
Supportive validation
- Submitted by
- Bioss (provider)
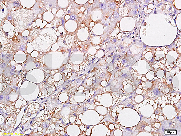
- Main image

- Experimental details
- Formalin-fixed and paraffin embedded: rat liver labeled with Anti-Leptin Polyclonal Antibody (bs-0108R), Unconjugated 1:300 followed by conjugation to the secondary antibody and DAB staining
- Sample type
- Rat
- Other comments
- Liver