Antibody data
- Antibody Data
- Antigen structure
- References [1]
- Comments [0]
- Validations
- Western blot [1]
- Immunohistochemistry [1]
Submit
Validation data
Reference
Comment
Report error
- Product number
- GTX55099 - Provider product page

- Provider
- GeneTex
- Product name
- JAK1 (phospho Tyr1022) antibody
- Antibody type
- Polyclonal
- Reactivity
- Human, Rat
- Host
- Rabbit
Submitted references Immunohistochemistry of Janus Kinase 1 (JAK1) Expression in Vitiligo.
Abdou AG, Maraee A, Yassien H, Sarhan M
Journal of pathology and translational medicine 2018 Nov;52(6):363-368
Journal of pathology and translational medicine 2018 Nov;52(6):363-368
No comments: Submit comment
Supportive validation
- Submitted by
- GeneTex (provider)
- Main image

- Experimental details
- Western blot analysis of JAK1 (pY1022) expression in Ramos (A); Jurkat (B); L929 (C); PC12 (D) whole cell lysates.
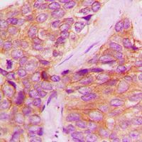
Supportive validation
- Submitted by
- GeneTex (provider)
- Main image

- Experimental details
- Immunohistochemical analysis of JAK1 (pY1022) staining in human breast cancer formalin fixed paraffin embedded tissue section. The section was pre-treated using heat mediated antigen retrieval with sodium citrate buffer (pH 6.0). The section was then incubated with the antibody at room temperature and detected using an HRP conjugated compact polymer system. DAB was used as the chromogen. The section was then counterstained with haematoxylin and mounted with DPX.