Antibody data
- Antibody Data
- Antigen structure
- References [0]
- Comments [0]
- Validations
- Western blot [3]
- Immunocytochemistry [1]
- Immunohistochemistry [6]
Submit
Validation data
Reference
Comment
Report error
- Product number
- GTX100294 - Provider product page

- Provider
- GeneTex
- Proper citation
- GeneTex Cat#GTX100294, RRID:AB_1240913
- Product name
- GRB2 antibody
- Antibody type
- Polyclonal
- Reactivity
- Human, Mouse, Rat
- Host
- Rabbit
No comments: Submit comment
Supportive validation
- Submitted by
- GeneTex (provider)
- Main image

- Experimental details
- Sample (30 ug of whole cell lysate) A: Raji 12% SDS PAGE GRB2 antibody GTX100294 diluted at 1:1000
- Submitted by
- GeneTex (provider)
- Main image

- Experimental details
- Sample (30 ug of whole cell lysate) A: NIH-3T3 B: BCL-1 12% SDS PAGE GTX100294 diluted at 1:1000
- Submitted by
- GeneTex (provider)
- Main image

- Experimental details
- Various whole cell extracts (30 ?g) were separated by 12% SDS-PAGE, and the membrane was blotted with GRB2 antibody (GTX100294) diluted at 1:1000. The HRP-conjugated anti-rabbit IgG antibody (GTX213110-01) was used to detect the primary antibody.
Supportive validation
- Submitted by
- GeneTex (provider)
- Main image

- Experimental details
- GRB2 antibody detects GRB2 protein at nucleus by immunofluorescent analysis.Sample: SK-N-SH cells were fixed in 4% paraformaldehyde at RT for 15 min.Green: GRB2 protein stained by GRB2 antibody (GTX100294) diluted at 1:500.Blue: Hoechst 33342 staining.
Supportive validation
- Submitted by
- GeneTex (provider)
- Main image

- Experimental details
- GRB2 antibody detects GRB2 protein at nucleus on mouse liver by immunohistochemical analysis. Sample: Paraffin-embedded mouse liver. GRB2 antibody (GTX100294) dilution: 1:500.
- Submitted by
- GeneTex (provider)
- Main image

- Experimental details
- GRB2 antibody detects GRB2 protein at nucleus on mouse lung by immunohistochemical analysis. Sample: Paraffin-embedded mouse lung. GRB2 antibody (GTX100294) dilution: 1:500.
- Submitted by
- GeneTex (provider)
- Main image

- Experimental details
- GRB2 antibody detects GRB2 protein at nucleus on rat fore brain by immunohistochemical analysis. Sample: Paraffin-embedded rat fore brain. GRB2 antibody (GTX100294) dilution: 1:500.
- Submitted by
- GeneTex (provider)
- Main image

- Experimental details
- GRB2 antibody detects GRB2 protein at nucleus on human breast carcinoma by immunohistochemical analysis. Sample: Paraffin-embedded human breast carcinoma. GRB2 antibody (GTX100294) dilution: 1:500.
- Submitted by
- GeneTex (provider)
- Main image

- Experimental details
- GRB2 antibody detects GRB2 protein at nucleus on human colon carcinoma by immunohistochemical analysis. Sample: Paraffin-embedded human colon carcinoma. GRB2 antibody (GTX100294) dilution: 1:500.
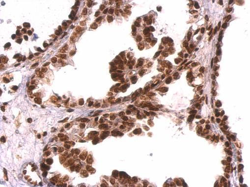
- Submitted by
- GeneTex (provider)
- Main image

- Experimental details
- GRB2 antibody detects GRB2 protein at nucleus on human ovarian carcinoma by immunohistochemical analysis. Sample: Paraffin-embedded human ovarian carcinoma. GRB2 antibody (GTX100294) dilution: 1:500.