Antibody data
- Antibody Data
- Antigen structure
- References [0]
- Comments [0]
- Validations
- Western blot [1]
- Immunohistochemistry [1]
Submit
Validation data
Reference
Comment
Report error
- Product number
- AP08213PU-N - Provider product page

- Provider
- OriGene
- Product name
- Thymidylate Synthase (TYMS) sheep polyclonal antibody, Purified
- Antibody type
- Polyclonal
- Description
- Thymidylate Synthase (TYMS) sheep polyclonal antibody, Purified
- Host
- Sheep
- Conjugate
- Unconjugated
- Epitope
- TYMS
- Isotype
- IgG
- Antibody clone number
- NULL
- Vial size
- 50 µl
- Concentration
- 10 mg/ml
No comments: Submit comment
Supportive validation
- Submitted by
- OriGene (provider)
- Main image

- Experimental details
- Western Blot using Thymidylate Synthase Antibody: Anti-TS is shown to detect thymidylate synthase present in a HeLa cell extract. Each lane is estimated to contain 4 ug of protein. Lanes 1, 2 and 3 represent 1:2000, 1:5000 and 1:10000 fold dilutions of the antibody. Detection was made using HRP Rabbit-anti-Sheep IgG ?diluted 1:1000 and color development using TMB (TMBM-100) substrate for approximately 4.
- Validation comment
- WB
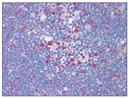
Supportive validation
- Submitted by
- OriGene (provider)
- Main image

- Experimental details
- Formalin-Fixed Paraffin-Embedded Human Thymus stained with using Thymidylate Synthase Antibod
- Validation comment
- IHC