PA5-84065
antibody from Invitrogen Antibodies
Targeting: DISP1
DISPA, DKFZP434I0428, MGC13130, MGC16796
Antibody data
- Antibody Data
- Antigen structure
- References [0]
- Comments [0]
- Validations
- Immunocytochemistry [2]
- Immunohistochemistry [1]
Submit
Validation data
Reference
Comment
Report error
- Product number
- PA5-84065 - Provider product page

- Provider
- Invitrogen Antibodies
- Product name
- DISP1 Polyclonal Antibody
- Antibody type
- Polyclonal
- Antigen
- Recombinant protein fragment
- Description
- Immunogen sequence: GKTNVHSLQR SIEEHLPKMA EPSSFVCRST GSLLKTCCDP ENKQRELCKN RDVSNLESSG GTENKAGGKV ELSLSQTDAS VNSE
- Reactivity
- Human
- Host
- Rabbit
- Isotype
- IgG
- Vial size
- 100 μL
- Concentration
- 0.1 mg/mL
- Storage
- Store at 4°C short term. For long term storage, store at -20°C, avoiding freeze/thaw cycles.
No comments: Submit comment
Supportive validation
- Submitted by
- Invitrogen Antibodies (provider)
- Main image

- Experimental details
- Immunofluorescent analysis of DISP1 in HEK 293 cells using a DISP1 polyclonal antibody (Product # PA5-84065). The analysis shows localization to nuclear bodies.
- Submitted by
- Invitrogen Antibodies (provider)
- Main image

- Experimental details
- Immunofluorecent analysis of DISP1 in human cell line HEK 293 using DISP1 Polyclonal Antibody (Product # PA5-84065). Staining shows localization to nuclear bodies.
Supportive validation
- Submitted by
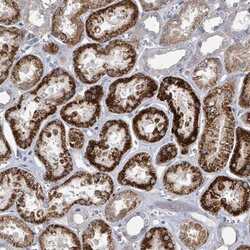
- Invitrogen Antibodies (provider)
- Main image

- Experimental details
- Immunohistochemical analysis of DISP1 in human kidney using DISP1 Polyclonal Antibody (Product # PA5-84065) shows strong cytoplasmic positivity in tubular cells.