Antibody data
- Antibody Data
- Antigen structure
- References [1]
- Comments [0]
- Validations
- Western blot [1]
- Immunocytochemistry [1]
- Immunohistochemistry [1]
- Flow cytometry [1]
Submit
Validation data
Reference
Comment
Report error
- Product number
- AP6231A - Provider product page

- Provider
- Abcepta
- Proper citation
- Abgent Cat#AP6231A, RRID:AB_2172919
- Product name
- Presenilin 1 (PSEN1) Antibody (C-term)
- Antibody type
- Polyclonal
- Antigen
- Synthetic peptide
- Description
- Purified Rabbit Polyclonal Antibody (Pab)
- Reactivity
- Human, Mouse
- Host
- Rabbit
- Isotype
- IgG
- Vial size
- 400 µl
- Concentration
- 2 mg/ml
- Storage
- Maintain refrigerated at 2-8°C for up to 6 months. For long term storage store at -20°C in small aliquots to prevent freeze-thaw cycles.
Submitted references Nicotine decreases beta-amyloid through regulating BACE1 transcription in SH-EP1-α4β2 nAChR-APP695 cells.
Nie HZ, Li ZQ, Yan QX, Wang ZJ, Zhao WJ, Guo LC, Yin M
Neurochemical research 2011 May;36(5):904-12
Neurochemical research 2011 May;36(5):904-12
No comments: Submit comment
Supportive validation
- Submitted by
- Abcepta (provider)
- Main image

- Experimental details
- The Presenilin 1 (PSEN1) Antibody (C-term) (Cat.#AP6231a) is used in Western blot to detect PSEN1 in mouse kidney tissue lysate (lane 1) and HL60 cell lysate (lane 2) lysate.
- Primary Ab dilution
- 1:1000
Supportive validation
- Submitted by
- Abcepta (provider)
- Main image

- Experimental details
- Confocal immunofluorescent analysis of Presenilin 1 (PSEN1) Antibody (C-term)(Cat#AP6231a) with MDA-MB435 cell followed by Alexa Fluor 488-conjugated goat anti-rabbit lgG (green).DAPI was used to stain the cell nuclear (blue).
- Primary Ab dilution
- 1:10~50
Supportive validation
- Submitted by
- Abcepta (provider)
- Main image

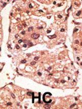
- Experimental details
- "Formalin-fixed and paraffin-embedded human cancer tissue reacted with the primary antibody, which was peroxidase-conjugated to the secondary antibody, followed by DAB staining. This data demonstrates the use of this antibody for immunohistochemistry; clinical relevance has not been evaluated. BC = breast carcinoma; HC = hepatocarcinoma."
- Primary Ab dilution
- 1:50~100
Supportive validation
- Submitted by
- Abcepta (provider)
- Main image

- Experimental details
- Presenilin 1 (PSEN1) Antibody (C-term) (Cat. #AP6231a) flow cytometric analysis of Hela cells (right histogram) compared to a negative control cell (left histogram).FITC-conjugated goat-anti-rabbit secondary antibodies were used for the analysis.
- Primary Ab dilution
- 1:10~50