Antibody data
- Antibody Data
- Antigen structure
- References [0]
- Comments [0]
- Validations
- Immunohistochemistry [1]
Submit
Validation data
Reference
Comment
Report error
- Product number
- LS-C389855 - Provider product page

- Provider
- LSBio
- Product name
- CD8A / CD8 Alpha Antibody (clone SPM548) LS-C389855
- Antibody type
- Monoclonal
- Description
- Protein G purified
- Reactivity
- Human
- Host
- Mouse
- Isotype
- IgG
- Antibody clone number
- SPM548
- Storage
- Store at 2°C to 8°C.
No comments: Submit comment
Supportive validation
- Submitted by
- LSBio (provider)
- Enhanced method
- Genetic validation
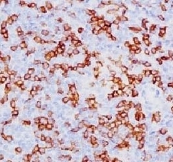
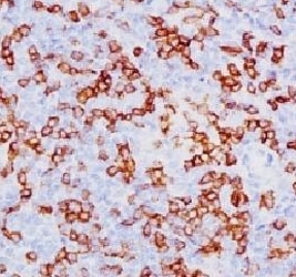
- Main image

- Experimental details
- IHC testing of CD8a antibody and human tonsil. This image was taken for the unmodified form of this product. Other forms have not been tested.