600-401-R10
antibody from Rockland Immunochemicals, Inc.
Targeting: CD68
DKFZp686M18236, GP110, LAMP4, macrosialin, SCARD1
Antibody data
- Antibody Data
- Antigen structure
- References [2]
- Comments [0]
- Validations
- Immunohistochemistry [1]
Submit
Validation data
Reference
Comment
Report error
- Product number
- 600-401-R10 - Provider product page

- Provider
- Rockland Immunochemicals, Inc.
- Proper citation
- Rockland Cat#600-401-R10, RRID:AB_2614528
- Product name
- Anti-CD68 (RABBIT) Antibody - 600-401-R10
- Antibody type
- Polyclonal
- Vial size
- 100 µl
Submitted references Polarized microtubule remodeling transforms the morphology of reactive microglia and drives cytokine release.
Targeting Oxidative Stress, Cytokines and Serotonin Interactions Via Indoleamine 2, 3 Dioxygenase by Coenzyme Q10: Role in Suppressing Depressive Like Behavior in Rats.
Adrian M, Weber M, Tsai MC, Glock C, Kahn OI, Phu L, Cheung TK, Meilandt WJ, Rose CM, Hoogenraad CC
Nature communications 2023 Oct 9;14(1):6322
Nature communications 2023 Oct 9;14(1):6322
Targeting Oxidative Stress, Cytokines and Serotonin Interactions Via Indoleamine 2, 3 Dioxygenase by Coenzyme Q10: Role in Suppressing Depressive Like Behavior in Rats.
Abuelezz SA, Hendawy N, Magdy Y
Journal of neuroimmune pharmacology : the official journal of the Society on NeuroImmune Pharmacology 2017 Jun;12(2):277-291
Journal of neuroimmune pharmacology : the official journal of the Society on NeuroImmune Pharmacology 2017 Jun;12(2):277-291
No comments: Submit comment
Supportive validation
- Submitted by
- Rockland Immunochemicals, Inc. (provider)
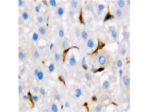
- Main image

- Experimental details
- Immunohistochemistry of Rabbit anti-CD68 antibody. Tissue: rat liver tissue. Fixation: formalin fixed parraffin embedded. Primary antibody: CD68 antibody 10 µg/mL for 1 h at RT. Secondary antibody: Anti-rabbit secondary antibody at 1:10,000 for 45 min at RT. Localization: CD68 is an endosome and lysosome single-pass type I membrane protein. Staining: CD-68 as precipitated red signal with hematoxylin purple nuclear counterstain.
- Validation comment
- Immunohistochemistry