Antibody data
- Antibody Data
- Antigen structure
- References [72]
- Comments [0]
- Validations
- Immunocytochemistry [1]
- Immunohistochemistry [1]
- Flow cytometry [1]
- Blocking/Neutralizing [1]
Submit
Validation data
Reference
Comment
Report error
- Product number
- MAB197-100 - Provider product page

- Provider
- R&D Systems
- Product name
- Human CCR7 Antibody
- Antibody type
- Monoclonal
- Description
- Protein A or G purified from hybridoma culture supernatant. Detects human CCR7.
- Reactivity
- Human
- Host
- Mouse
- Conjugate
- Unconjugated
- Antigen sequence
AAA58615- Isotype
- IgG
- Antibody clone number
- 150503
- Vial size
- 100 ug
- Concentration
- LYOPH
- Storage
- Use a manual defrost freezer and avoid repeated freeze-thaw cycles. 12 months from date of receipt, -20 to -70 °C as supplied. 1 month, 2 to 8 °C under sterile conditions after reconstitution. 6 months, -20 to -70 °C under sterile conditions after reconstitution.
Submitted references Siglec-9 Regulates an Effector Memory CD8+ T-cell Subset That Congregates in the Melanoma Tumor Microenvironment.
Proteasome inhibition with bortezomib induces a therapeutically relevant depletion of plasma cells in SLE but does not target their precursors.
Early antiretroviral therapy limits SIV reservoir establishment to delay or prevent post-treatment viral rebound.
HCMV triggers frequent and persistent UL40-specific unconventional HLA-E-restricted CD8 T-cell responses with potential autologous and allogeneic peptide recognition.
pERK-dependent defective TCR-mediated activation of CD4+ T cells in end-stage renal disease patients.
Chemoprophylaxis with sporozoite immunization in P. knowlesi rhesus monkeys confers protection and elicits sporozoite-specific memory T cells in the liver.
Reconstitution of immune cell populations in multiple sclerosis patients after autologous stem cell transplantation.
Inducible Activation of MyD88 and CD40 in CAR T Cells Results in Controllable and Potent Antitumor Activity in Preclinical Solid Tumor Models.
Highly efficient maternal-fetal Zika virus transmission in pregnant rhesus macaques.
Jak3 is involved in CCR7-dependent migration and invasion in metastatic squamous cell carcinoma of the head and neck.
Optimization of mass cytometry sample cryopreservation after staining.
NFKB1 regulates human NK cell maturation and effector functions.
Interferon-α-inducible Dendritic Cells Matured with OK-432 Exhibit TRAIL and Fas Ligand Pathway-mediated Killer Activity.
Regulation of CCR7-dependent cell migration through CCR7 homodimer formation.
Imatinib and Nilotinib Off-Target Effects on Human NK Cells, Monocytes, and M2 Macrophages.
Differences in expression of gut-homing receptors on CD4+ T cells in black and white HIV-negative men who have sex with men.
Heightened Immune Activation in Fetuses with Gastroschisis May Be Blocked by Targeting IL-5.
Dengue virus infection induces interferon-lambda1 to facilitate cell migration.
Fas/CD95 prevents autoimmunity independently of lipid raft localization and efficient apoptosis induction.
Compartmentalization of Total and Virus-Specific Tissue-Resident Memory CD8+ T Cells in Human Lymphoid Organs.
Trypsin, Tryptase, and Thrombin Polarize Macrophages towards a Pro-Fibrotic M2a Phenotype.
Enhanced Chemokine Receptor Recycling and Impaired S1P1 Expression Promote Leukemic Cell Infiltration of Lymph Nodes in Chronic Lymphocytic Leukemia.
Tissue Distribution of Memory T and B Cells in Rhesus Monkeys following Influenza A Infection.
Effect of IL-7 Therapy on Naive and Memory T Cell Homeostasis in Aged Rhesus Macaques.
The chemotaxis of M1 and M2 macrophages is regulated by different chemokines.
Prognostic markers for patient outcome following vaccination with multiple MHC Class I/II-restricted WT1 peptide-pulsed dendritic cells plus chemotherapy for pancreatic cancer.
Barcoding of live human peripheral blood mononuclear cells for multiplexed mass cytometry.
The MEC1 and MEC2 lines represent two CLL subclones in different stages of progression towards prolymphocytic leukemia.
Priming by chemokines restricts lateral mobility of the adhesion receptor LFA-1 and restores adhesion to ICAM-1 nano-aggregates on human mature dendritic cells.
Phase I clinical trial of fibronectin CH296-stimulated T cell therapy in patients with advanced cancer.
Breast cancer cells condition lymphatic endothelial cells within pre-metastatic niches to promote metastasis.
CD20+ B cell depletion alters T cell homing.
Proteome-wide analysis of HIV-specific naive and memory CD4(+) T cells in unexposed blood donors.
Closely related T-memory stem cells correlate with in vivo expansion of CAR.CD19-T cells and are preserved by IL-7 and IL-15.
Intracellular coexpression of CXC- and CC- chemokine receptors and their ligands in human melanoma cell lines and dynamic variations after xenotransplantation.
Oxygen regulates human cytotrophoblast migration by controlling chemokine and receptor expression.
Adoptive transfer of EBV specific CD8+ T cell clones can transiently control EBV infection in humanized mice.
Development and function of human innate immune cells in a humanized mouse model.
CD56(bright)perforin(low) noncytotoxic human NK cells are abundant in both healthy and neoplastic solid tissues and recirculate to secondary lymphoid organs via afferent lymph.
Functional diversity of human vaginal APC subsets in directing T-cell responses.
Neuroblastoma-derived TGF-β1 modulates the chemokine receptor repertoire of human resting NK cells.
NK cells from malignant pleural effusions are not anergic but produce cytokines and display strong antitumor activity on short-term IL-2 activation.
IL-21 promotes the expansion of CD27+ CD28+ tumor infiltrating lymphocytes with high cytotoxic potential and low collateral expansion of regulatory T cells.
Anti-CCR7 therapy exerts a potent anti-tumor activity in a xenograft model of human mantle cell lymphoma.
Blood CD4+CD45RO+CXCR5+ T cells are decreased but partially functional in signal transducer and activator of transcription 3 deficiency.
TCR-driven transendothelial migration of human effector memory CD4 T cells involves Vav, Rac, and myosin IIA.
Accelerated heterologous adenovirus prime-boost SIV vaccine in neonatal rhesus monkeys.
Pathogen-induced human TH17 cells produce IFN-γ or IL-10 and are regulated by IL-1β.
Identification of human NK17/NK1 cells.
Early induction of polyfunctional simian immunodeficiency virus (SIV)-specific T lymphocytes and rapid disappearance of SIV from lymph nodes of sooty mangabeys during primary infection.
Blocking of α4β7 gut-homing integrin during acute infection leads to decreased plasma and gastrointestinal tissue viral loads in simian immunodeficiency virus-infected rhesus macaques.
Mouse CCL8, a CCR8 agonist, promotes atopic dermatitis by recruiting IL-5+ T(H)2 cells.
Expression of podoplanin and other lymphatic markers in the human anterior eye segment.
CD94 surface density identifies a functional intermediary between the CD56bright and CD56dim human NK-cell subsets.
Distribution, persistence, and efficacy of adoptively transferred central and effector memory-derived autologous simian immunodeficiency virus-specific CD8+ T cell clones in rhesus macaques during acute infection.
Trafficking, persistence, and activation state of adoptively transferred allogeneic and autologous Simian Immunodeficiency Virus-specific CD8(+) T cell clones during acute and chronic infection of rhesus macaques.
CCL21 overexpressed on lymphatic vessels drives thymic hyperplasia in myasthenia.
Post-apoptotic tumors are more palatable to dendritic cells and enhance their antigen cross-presentation activity.
RNA-loaded CD40-activated B cells stimulate antigen-specific T-cell responses in dogs with spontaneous lymphoma.
Vitamins A and D are potent inhibitors of cutaneous lymphocyte-associated antigen expression.
Progressive CD4+ central memory T cell decline results in CD4+ effector memory insufficiency and overt disease in chronic SIV infection.
Vitamin A metabolites induce gut-homing FoxP3+ regulatory T cells.
Transduction with human telomerase reverse transcriptase immortalizes a rhesus macaque CD8+ T cell clone with maintenance of surface marker phenotype and function.
Idiopathic pulmonary fibrosis fibroblasts migrate and proliferate to CC chemokine ligand 21.
Prolonged (E)-4-hydroxy-3-methyl-but-2-enyl pyrophosphate-driven antimicrobial and cytotoxic responses of pulmonary and systemic Vgamma2Vdelta2 T cells in macaques.
Therapeutic targeting of CC ligand 21 or CC chemokine receptor 7 abrogates pulmonary fibrosis induced by the adoptive transfer of human pulmonary fibroblasts to immunodeficient mice.
Chemokine receptors in head and neck cancer: association with metastatic spread and regulation during chemotherapy.
Trafficking pathways and characterization of CD4 and CD8 cells recruited to the skin of humans experimentally infected with Haemophilus ducreyi.
Classification of distinct subtypes of peripheral T-cell lymphoma unspecified, identified by chemokine and chemokine receptor expression: Analysis of prognosis.
Developing neonatal rabbit appendix, a primary lymphoid organ, is seeded by immature blood-borne B cells: evidence for roles for CD62L/PNAd, CCR7/CCL21, alpha4beta1 and LFA-1.
Suppressive properties of human CD4+CD25+ regulatory T cells are dependent on CTLA-4 expression.
Evasion from NK cell immunity by MHC class I chain-related molecules expressing colon adenocarcinoma.
Haas Q, Boligan KF, Jandus C, Schneider C, Simillion C, Stanczak MA, Haubitz M, Seyed Jafari SM, Zippelius A, Baerlocher GM, Läubli H, Hunger RE, Romero P, Simon HU, von Gunten S
Cancer immunology research 2019 May;7(5):707-718
Cancer immunology research 2019 May;7(5):707-718
Proteasome inhibition with bortezomib induces a therapeutically relevant depletion of plasma cells in SLE but does not target their precursors.
Alexander T, Cheng Q, Klotsche J, Khodadadi L, Waka A, Biesen R, Hoyer BF, Burmester GR, Radbruch A, Hiepe F
European journal of immunology 2018 Sep;48(9):1573-1579
European journal of immunology 2018 Sep;48(9):1573-1579
Early antiretroviral therapy limits SIV reservoir establishment to delay or prevent post-treatment viral rebound.
Okoye AA, Hansen SG, Vaidya M, Fukazawa Y, Park H, Duell DM, Lum R, Hughes CM, Ventura AB, Ainslie E, Ford JC, Morrow D, Gilbride RM, Legasse AW, Hesselgesser J, Geleziunas R, Li Y, Oswald K, Shoemaker R, Fast R, Bosche WJ, Borate BR, Edlefsen PT, Axthelm MK, Picker LJ, Lifson JD
Nature medicine 2018 Sep;24(9):1430-1440
Nature medicine 2018 Sep;24(9):1430-1440
HCMV triggers frequent and persistent UL40-specific unconventional HLA-E-restricted CD8 T-cell responses with potential autologous and allogeneic peptide recognition.
Jouand N, Bressollette-Bodin C, Gérard N, Giral M, Guérif P, Rodallec A, Oger R, Parrot T, Allard M, Cesbron-Gautier A, Gervois N, Charreau B
PLoS pathogens 2018 Apr;14(4):e1007041
PLoS pathogens 2018 Apr;14(4):e1007041
pERK-dependent defective TCR-mediated activation of CD4+ T cells in end-stage renal disease patients.
Huang L, Litjens NHR, Kannegieter NM, Klepper M, Baan CC, Betjes MGH
Immunity & ageing : I & A 2017;14:14
Immunity & ageing : I & A 2017;14:14
Chemoprophylaxis with sporozoite immunization in P. knowlesi rhesus monkeys confers protection and elicits sporozoite-specific memory T cells in the liver.
Pichyangkul S, Spring MD, Yongvanitchit K, Kum-Arb U, Limsalakpetch A, Im-Erbsin R, Ubalee R, Vanachayangkul P, Remarque EJ, Angov E, Smith PL, Saunders DL
PloS one 2017;12(2):e0171826
PloS one 2017;12(2):e0171826
Reconstitution of immune cell populations in multiple sclerosis patients after autologous stem cell transplantation.
Karnell FG, Lin D, Motley S, Duhen T, Lim N, Campbell DJ, Turka LA, Maecker HT, Harris KM
Clinical and experimental immunology 2017 Sep;189(3):268-278
Clinical and experimental immunology 2017 Sep;189(3):268-278
Inducible Activation of MyD88 and CD40 in CAR T Cells Results in Controllable and Potent Antitumor Activity in Preclinical Solid Tumor Models.
Mata M, Gerken C, Nguyen P, Krenciute G, Spencer DM, Gottschalk S
Cancer discovery 2017 Nov;7(11):1306-1319
Cancer discovery 2017 Nov;7(11):1306-1319
Highly efficient maternal-fetal Zika virus transmission in pregnant rhesus macaques.
Nguyen SM, Antony KM, Dudley DM, Kohn S, Simmons HA, Wolfe B, Salamat MS, Teixeira LBC, Wiepz GJ, Thoong TH, Aliota MT, Weiler AM, Barry GL, Weisgrau KL, Vosler LJ, Mohns MS, Breitbach ME, Stewart LM, Rasheed MN, Newman CM, Graham ME, Wieben OE, Turski PA, Johnson KM, Post J, Hayes JM, Schultz-Darken N, Schotzko ML, Eudailey JA, Permar SR, Rakasz EG, Mohr EL, Capuano S 3rd, Tarantal AF, Osorio JE, O'Connor SL, Friedrich TC, O'Connor DH, Golos TG
PLoS pathogens 2017 May;13(5):e1006378
PLoS pathogens 2017 May;13(5):e1006378
Jak3 is involved in CCR7-dependent migration and invasion in metastatic squamous cell carcinoma of the head and neck.
Zhang Z, Liu F, Li Z, Wang D, Li R, Sun C
Oncology letters 2017 May;13(5):3191-3197
Oncology letters 2017 May;13(5):3191-3197
Optimization of mass cytometry sample cryopreservation after staining.
Sumatoh HR, Teng KW, Cheng Y, Newell EW
Cytometry. Part A : the journal of the International Society for Analytical Cytology 2017 Jan;91(1):48-61
Cytometry. Part A : the journal of the International Society for Analytical Cytology 2017 Jan;91(1):48-61
NFKB1 regulates human NK cell maturation and effector functions.
Lougaris V, Patrizi O, Baronio M, Tabellini G, Tampella G, Damiati E, Frede N, van der Meer JWM, Fliegauf M, Grimbacher B, Parolini S, Plebani A
Clinical immunology (Orlando, Fla.) 2017 Feb;175:99-108
Clinical immunology (Orlando, Fla.) 2017 Feb;175:99-108
Interferon-α-inducible Dendritic Cells Matured with OK-432 Exhibit TRAIL and Fas Ligand Pathway-mediated Killer Activity.
Koya T, Yanagisawa R, Higuchi Y, Sano K, Shimodaira S
Scientific reports 2017 Feb 13;7:42145
Scientific reports 2017 Feb 13;7:42145
Regulation of CCR7-dependent cell migration through CCR7 homodimer formation.
Kobayashi D, Endo M, Ochi H, Hojo H, Miyasaka M, Hayasaka H
Scientific reports 2017 Aug 17;7(1):8536
Scientific reports 2017 Aug 17;7(1):8536
Imatinib and Nilotinib Off-Target Effects on Human NK Cells, Monocytes, and M2 Macrophages.
Bellora F, Dondero A, Corrias MV, Casu B, Regis S, Caliendo F, Moretta A, Cazzola M, Elena C, Vinti L, Locatelli F, Bottino C, Castriconi R
Journal of immunology (Baltimore, Md. : 1950) 2017 Aug 15;199(4):1516-1525
Journal of immunology (Baltimore, Md. : 1950) 2017 Aug 15;199(4):1516-1525
Differences in expression of gut-homing receptors on CD4+ T cells in black and white HIV-negative men who have sex with men.
Kelley CF, Lai L, Ibegbu C, Rosenberg ES, Kaur S, Patel K, Mulligan MJ, Marconi VC, Sullivan PS, Amara RR
AIDS (London, England) 2016 May 15;30(8):1305-8
AIDS (London, England) 2016 May 15;30(8):1305-8
Heightened Immune Activation in Fetuses with Gastroschisis May Be Blocked by Targeting IL-5.
Frascoli M, Jeanty C, Fleck S, Moradi PW, Keating S, Mattis AN, Tang Q, MacKenzie TC
Journal of immunology (Baltimore, Md. : 1950) 2016 Jun 15;196(12):4957-66
Journal of immunology (Baltimore, Md. : 1950) 2016 Jun 15;196(12):4957-66
Dengue virus infection induces interferon-lambda1 to facilitate cell migration.
Hsu YL, Wang MY, Ho LJ, Lai JH
Scientific reports 2016 Jul 26;6:24530
Scientific reports 2016 Jul 26;6:24530
Fas/CD95 prevents autoimmunity independently of lipid raft localization and efficient apoptosis induction.
Cruz AC, Ramaswamy M, Ouyang C, Klebanoff CA, Sengupta P, Yamamoto TN, Meylan F, Thomas SK, Richoz N, Eil R, Price S, Casellas R, Rao VK, Lippincott-Schwartz J, Restifo NP, Siegel RM
Nature communications 2016 Dec 23;7:13895
Nature communications 2016 Dec 23;7:13895
Compartmentalization of Total and Virus-Specific Tissue-Resident Memory CD8+ T Cells in Human Lymphoid Organs.
Woon HG, Braun A, Li J, Smith C, Edwards J, Sierro F, Feng CG, Khanna R, Elliot M, Bell A, Hislop AD, Tangye SG, Rickinson AB, Gebhardt T, Britton WJ, Palendira U
PLoS pathogens 2016 Aug;12(8):e1005799
PLoS pathogens 2016 Aug;12(8):e1005799
Trypsin, Tryptase, and Thrombin Polarize Macrophages towards a Pro-Fibrotic M2a Phenotype.
White MJ, Gomer RH
PloS one 2015;10(9):e0138748
PloS one 2015;10(9):e0138748
Enhanced Chemokine Receptor Recycling and Impaired S1P1 Expression Promote Leukemic Cell Infiltration of Lymph Nodes in Chronic Lymphocytic Leukemia.
Patrussi L, Capitani N, Martini V, Pizzi M, Trimarco V, Frezzato F, Marino F, Semenzato G, Trentin L, Baldari CT
Cancer research 2015 Oct 1;75(19):4153-63
Cancer research 2015 Oct 1;75(19):4153-63
Tissue Distribution of Memory T and B Cells in Rhesus Monkeys following Influenza A Infection.
Pichyangkul S, Yongvanitchit K, Limsalakpetch A, Kum-Arb U, Im-Erbsin R, Boonnak K, Thitithayanont A, Jongkaewwattana A, Wiboon-ut S, Mongkolsirichaikul D, Mahanonda R, Spring M, Chuang I, Mason CJ, Saunders DL
Journal of immunology (Baltimore, Md. : 1950) 2015 Nov 1;195(9):4378-86
Journal of immunology (Baltimore, Md. : 1950) 2015 Nov 1;195(9):4378-86
Effect of IL-7 Therapy on Naive and Memory T Cell Homeostasis in Aged Rhesus Macaques.
Okoye AA, Rohankhedkar M, Konfe AL, Abana CO, Reyes MD, Clock JA, Duell DM, Sylwester AW, Sammader P, Legasse AW, Park BS, Axthelm MK, Nikolich-Žugich J, Picker LJ
Journal of immunology (Baltimore, Md. : 1950) 2015 Nov 1;195(9):4292-305
Journal of immunology (Baltimore, Md. : 1950) 2015 Nov 1;195(9):4292-305
The chemotaxis of M1 and M2 macrophages is regulated by different chemokines.
Xuan W, Qu Q, Zheng B, Xiong S, Fan GH
Journal of leukocyte biology 2015 Jan;97(1):61-9
Journal of leukocyte biology 2015 Jan;97(1):61-9
Prognostic markers for patient outcome following vaccination with multiple MHC Class I/II-restricted WT1 peptide-pulsed dendritic cells plus chemotherapy for pancreatic cancer.
Takakura K, Koido S, Kan S, Yoshida K, Mori M, Hirano Y, Ito Z, Kobayashi H, Takami S, Matsumoto Y, Kajihara M, Misawa T, Okamoto M, Sugiyama H, Homma S, Ohkusa T, Tajiri H
Anticancer research 2015 Jan;35(1):555-62
Anticancer research 2015 Jan;35(1):555-62
Barcoding of live human peripheral blood mononuclear cells for multiplexed mass cytometry.
Mei HE, Leipold MD, Schulz AR, Chester C, Maecker HT
Journal of immunology (Baltimore, Md. : 1950) 2015 Feb 15;194(4):2022-31
Journal of immunology (Baltimore, Md. : 1950) 2015 Feb 15;194(4):2022-31
The MEC1 and MEC2 lines represent two CLL subclones in different stages of progression towards prolymphocytic leukemia.
Rasul E, Salamon D, Nagy N, Leveau B, Banati F, Szenthe K, Koroknai A, Minarovits J, Klein G, Klein E
PloS one 2014;9(8):e106008
PloS one 2014;9(8):e106008
Priming by chemokines restricts lateral mobility of the adhesion receptor LFA-1 and restores adhesion to ICAM-1 nano-aggregates on human mature dendritic cells.
Borgman KJ, van Zanten TS, Manzo C, Cabezón R, Cambi A, Benítez-Ribas D, Garcia-Parajo MF
PloS one 2014;9(6):e99589
PloS one 2014;9(6):e99589
Phase I clinical trial of fibronectin CH296-stimulated T cell therapy in patients with advanced cancer.
Ishikawa T, Kokura S, Enoki T, Sakamoto N, Okayama T, Ideno M, Mineno J, Uno K, Yoshida N, Kamada K, Katada K, Uchiyama K, Handa O, Takagi T, Konishi H, Yagi N, Naito Y, Itoh Y, Yoshikawa T
PloS one 2014;9(1):e83786
PloS one 2014;9(1):e83786
Breast cancer cells condition lymphatic endothelial cells within pre-metastatic niches to promote metastasis.
Lee E, Fertig EJ, Jin K, Sukumar S, Pandey NB, Popel AS
Nature communications 2014 Sep 2;5:4715
Nature communications 2014 Sep 2;5:4715
CD20+ B cell depletion alters T cell homing.
Kap YS, van Driel N, Laman JD, Tak PP, 't Hart BA
Journal of immunology (Baltimore, Md. : 1950) 2014 May 1;192(9):4242-53
Journal of immunology (Baltimore, Md. : 1950) 2014 May 1;192(9):4242-53
Proteome-wide analysis of HIV-specific naive and memory CD4(+) T cells in unexposed blood donors.
Campion SL, Brodie TM, Fischer W, Korber BT, Rossetti A, Goonetilleke N, McMichael AJ, Sallusto F
The Journal of experimental medicine 2014 Jun 30;211(7):1273-80
The Journal of experimental medicine 2014 Jun 30;211(7):1273-80
Closely related T-memory stem cells correlate with in vivo expansion of CAR.CD19-T cells and are preserved by IL-7 and IL-15.
Xu Y, Zhang M, Ramos CA, Durett A, Liu E, Dakhova O, Liu H, Creighton CJ, Gee AP, Heslop HE, Rooney CM, Savoldo B, Dotti G
Blood 2014 Jun 12;123(24):3750-9
Blood 2014 Jun 12;123(24):3750-9
Intracellular coexpression of CXC- and CC- chemokine receptors and their ligands in human melanoma cell lines and dynamic variations after xenotransplantation.
Pinto S, Martínez-Romero A, O'Connor JE, Gil-Benso R, San-Miguel T, Terrádez L, Monteagudo C, Callaghan RC
BMC cancer 2014 Feb 22;14:118
BMC cancer 2014 Feb 22;14:118
Oxygen regulates human cytotrophoblast migration by controlling chemokine and receptor expression.
Schanz A, Red-Horse K, Hess AP, Baston-Büst DM, Heiss C, Krüssel JS
Placenta 2014 Dec;35(12):1089-94
Placenta 2014 Dec;35(12):1089-94
Adoptive transfer of EBV specific CD8+ T cell clones can transiently control EBV infection in humanized mice.
Antsiferova O, Müller A, Rämer PC, Chijioke O, Chatterjee B, Raykova A, Planas R, Sospedra M, Shumilov A, Tsai MH, Delecluse HJ, Münz C
PLoS pathogens 2014 Aug;10(8):e1004333
PLoS pathogens 2014 Aug;10(8):e1004333
Development and function of human innate immune cells in a humanized mouse model.
Rongvaux A, Willinger T, Martinek J, Strowig T, Gearty SV, Teichmann LL, Saito Y, Marches F, Halene S, Palucka AK, Manz MG, Flavell RA
Nature biotechnology 2014 Apr;32(4):364-72
Nature biotechnology 2014 Apr;32(4):364-72
CD56(bright)perforin(low) noncytotoxic human NK cells are abundant in both healthy and neoplastic solid tissues and recirculate to secondary lymphoid organs via afferent lymph.
Carrega P, Bonaccorsi I, Di Carlo E, Morandi B, Paul P, Rizzello V, Cipollone G, Navarra G, Mingari MC, Moretta L, Ferlazzo G
Journal of immunology (Baltimore, Md. : 1950) 2014 Apr 15;192(8):3805-15
Journal of immunology (Baltimore, Md. : 1950) 2014 Apr 15;192(8):3805-15
Functional diversity of human vaginal APC subsets in directing T-cell responses.
Duluc D, Gannevat J, Anguiano E, Zurawski S, Carley M, Boreham M, Stecher J, Dullaers M, Banchereau J, Oh S
Mucosal immunology 2013 May;6(3):626-38
Mucosal immunology 2013 May;6(3):626-38
Neuroblastoma-derived TGF-β1 modulates the chemokine receptor repertoire of human resting NK cells.
Castriconi R, Dondero A, Bellora F, Moretta L, Castellano A, Locatelli F, Corrias MV, Moretta A, Bottino C
Journal of immunology (Baltimore, Md. : 1950) 2013 May 15;190(10):5321-8
Journal of immunology (Baltimore, Md. : 1950) 2013 May 15;190(10):5321-8
NK cells from malignant pleural effusions are not anergic but produce cytokines and display strong antitumor activity on short-term IL-2 activation.
Vacca P, Martini S, Garelli V, Passalacqua G, Moretta L, Mingari MC
European journal of immunology 2013 Feb;43(2):550-61
European journal of immunology 2013 Feb;43(2):550-61
IL-21 promotes the expansion of CD27+ CD28+ tumor infiltrating lymphocytes with high cytotoxic potential and low collateral expansion of regulatory T cells.
Santegoets SJ, Turksma AW, Suhoski MM, Stam AG, Albelda SM, Hooijberg E, Scheper RJ, van den Eertwegh AJ, Gerritsen WR, Powell DJ Jr, June CH, de Gruijl TD
Journal of translational medicine 2013 Feb 12;11:37
Journal of translational medicine 2013 Feb 12;11:37
Anti-CCR7 therapy exerts a potent anti-tumor activity in a xenograft model of human mantle cell lymphoma.
Somovilla-Crespo B, Alfonso-Pérez M, Cuesta-Mateos C, Carballo-de Dios C, Beltrán AE, Terrón F, Pérez-Villar JJ, Gamallo-Amat C, Pérez-Chacón G, Fernández-Ruiz E, Zapata JM, Muñoz-Calleja C
Journal of hematology & oncology 2013 Dec 4;6:89
Journal of hematology & oncology 2013 Dec 4;6:89
Blood CD4+CD45RO+CXCR5+ T cells are decreased but partially functional in signal transducer and activator of transcription 3 deficiency.
Mazerolles F, Picard C, Kracker S, Fischer A, Durandy A
The Journal of allergy and clinical immunology 2013 Apr;131(4):1146-56, 1156.e1-5
The Journal of allergy and clinical immunology 2013 Apr;131(4):1146-56, 1156.e1-5
TCR-driven transendothelial migration of human effector memory CD4 T cells involves Vav, Rac, and myosin IIA.
Manes TD, Pober JS
Journal of immunology (Baltimore, Md. : 1950) 2013 Apr 1;190(7):3079-88
Journal of immunology (Baltimore, Md. : 1950) 2013 Apr 1;190(7):3079-88
Accelerated heterologous adenovirus prime-boost SIV vaccine in neonatal rhesus monkeys.
Liu J, Li H, Iampietro MJ, Barouch DH
Journal of virology 2012 Aug;86(15):7829-35
Journal of virology 2012 Aug;86(15):7829-35
Pathogen-induced human TH17 cells produce IFN-γ or IL-10 and are regulated by IL-1β.
Zielinski CE, Mele F, Aschenbrenner D, Jarrossay D, Ronchi F, Gattorno M, Monticelli S, Lanzavecchia A, Sallusto F
Nature 2012 Apr 26;484(7395):514-8
Nature 2012 Apr 26;484(7395):514-8
Identification of human NK17/NK1 cells.
Pandya AD, Al-Jaderi Z, Høglund RA, Holmøy T, Harbo HF, Norgauer J, Maghazachi AA
PloS one 2011;6(10):e26780
PloS one 2011;6(10):e26780
Early induction of polyfunctional simian immunodeficiency virus (SIV)-specific T lymphocytes and rapid disappearance of SIV from lymph nodes of sooty mangabeys during primary infection.
Meythaler M, Wang Z, Martinot A, Pryputniewicz S, Kasheta M, McClure HM, O'Neil SP, Kaur A
Journal of immunology (Baltimore, Md. : 1950) 2011 May 1;186(9):5151-61
Journal of immunology (Baltimore, Md. : 1950) 2011 May 1;186(9):5151-61
Blocking of α4β7 gut-homing integrin during acute infection leads to decreased plasma and gastrointestinal tissue viral loads in simian immunodeficiency virus-infected rhesus macaques.
Ansari AA, Reimann KA, Mayne AE, Takahashi Y, Stephenson ST, Wang R, Wang X, Li J, Price AA, Little DM, Zaidi M, Lyles R, Villinger F
Journal of immunology (Baltimore, Md. : 1950) 2011 Jan 15;186(2):1044-59
Journal of immunology (Baltimore, Md. : 1950) 2011 Jan 15;186(2):1044-59
Mouse CCL8, a CCR8 agonist, promotes atopic dermatitis by recruiting IL-5+ T(H)2 cells.
Islam SA, Chang DS, Colvin RA, Byrne MH, McCully ML, Moser B, Lira SA, Charo IF, Luster AD
Nature immunology 2011 Feb;12(2):167-77
Nature immunology 2011 Feb;12(2):167-77
Expression of podoplanin and other lymphatic markers in the human anterior eye segment.
Birke K, Lütjen-Drecoll E, Kerjaschki D, Birke MT
Investigative ophthalmology & visual science 2010 Jan;51(1):344-54
Investigative ophthalmology & visual science 2010 Jan;51(1):344-54
CD94 surface density identifies a functional intermediary between the CD56bright and CD56dim human NK-cell subsets.
Yu J, Mao HC, Wei M, Hughes T, Zhang J, Park IK, Liu S, McClory S, Marcucci G, Trotta R, Caligiuri MA
Blood 2010 Jan 14;115(2):274-81
Blood 2010 Jan 14;115(2):274-81
Distribution, persistence, and efficacy of adoptively transferred central and effector memory-derived autologous simian immunodeficiency virus-specific CD8+ T cell clones in rhesus macaques during acute infection.
Minang JT, Trivett MT, Bolton DL, Trubey CM, Estes JD, Li Y, Smedley J, Pung R, Rosati M, Jalah R, Pavlakis GN, Felber BK, Piatak M Jr, Roederer M, Lifson JD, Ott DE, Ohlen C
Journal of immunology (Baltimore, Md. : 1950) 2010 Jan 1;184(1):315-26
Journal of immunology (Baltimore, Md. : 1950) 2010 Jan 1;184(1):315-26
Trafficking, persistence, and activation state of adoptively transferred allogeneic and autologous Simian Immunodeficiency Virus-specific CD8(+) T cell clones during acute and chronic infection of rhesus macaques.
Bolton DL, Minang JT, Trivett MT, Song K, Tuscher JJ, Li Y, Piatak M Jr, O'Connor D, Lifson JD, Roederer M, Ohlen C
Journal of immunology (Baltimore, Md. : 1950) 2010 Jan 1;184(1):303-14
Journal of immunology (Baltimore, Md. : 1950) 2010 Jan 1;184(1):303-14
CCL21 overexpressed on lymphatic vessels drives thymic hyperplasia in myasthenia.
Berrih-Aknin S, Ruhlmann N, Bismuth J, Cizeron-Clairac G, Zelman E, Shachar I, Dartevelle P, de Rosbo NK, Le Panse R
Annals of neurology 2009 Oct;66(4):521-31
Annals of neurology 2009 Oct;66(4):521-31
Post-apoptotic tumors are more palatable to dendritic cells and enhance their antigen cross-presentation activity.
Brusa D, Garetto S, Chiorino G, Scatolini M, Migliore E, Camussi G, Matera L
Vaccine 2008 Nov 25;26(50):6422-32
Vaccine 2008 Nov 25;26(50):6422-32
RNA-loaded CD40-activated B cells stimulate antigen-specific T-cell responses in dogs with spontaneous lymphoma.
Mason NJ, Coughlin CM, Overley B, Cohen JN, Mitchell EL, Colligon TA, Clifford CA, Zurbriggen A, Sorenmo KU, Vonderheide RH
Gene therapy 2008 Jul;15(13):955-65
Gene therapy 2008 Jul;15(13):955-65
Vitamins A and D are potent inhibitors of cutaneous lymphocyte-associated antigen expression.
Yamanaka K, Dimitroff CJ, Fuhlbrigge RC, Kakeda M, Kurokawa I, Mizutani H, Kupper TS
The Journal of allergy and clinical immunology 2008 Jan;121(1):148-157.e3
The Journal of allergy and clinical immunology 2008 Jan;121(1):148-157.e3
Progressive CD4+ central memory T cell decline results in CD4+ effector memory insufficiency and overt disease in chronic SIV infection.
Okoye A, Meier-Schellersheim M, Brenchley JM, Hagen SI, Walker JM, Rohankhedkar M, Lum R, Edgar JB, Planer SL, Legasse A, Sylwester AW, Piatak M Jr, Lifson JD, Maino VC, Sodora DL, Douek DC, Axthelm MK, Grossman Z, Picker LJ
The Journal of experimental medicine 2007 Sep 3;204(9):2171-85
The Journal of experimental medicine 2007 Sep 3;204(9):2171-85
Vitamin A metabolites induce gut-homing FoxP3+ regulatory T cells.
Kang SG, Lim HW, Andrisani OM, Broxmeyer HE, Kim CH
Journal of immunology (Baltimore, Md. : 1950) 2007 Sep 15;179(6):3724-33
Journal of immunology (Baltimore, Md. : 1950) 2007 Sep 15;179(6):3724-33
Transduction with human telomerase reverse transcriptase immortalizes a rhesus macaque CD8+ T cell clone with maintenance of surface marker phenotype and function.
Andersen H, Barsov EV, Trivett MT, Trubey CM, Giavedoni LD, Lifson JD, Ott DE, Ohlén C
AIDS research and human retroviruses 2007 Mar;23(3):456-65
AIDS research and human retroviruses 2007 Mar;23(3):456-65
Idiopathic pulmonary fibrosis fibroblasts migrate and proliferate to CC chemokine ligand 21.
Pierce EM, Carpenter K, Jakubzick C, Kunkel SL, Evanoff H, Flaherty KR, Martinez FJ, Toews GB, Hogaboam CM
The European respiratory journal 2007 Jun;29(6):1082-93
The European respiratory journal 2007 Jun;29(6):1082-93
Prolonged (E)-4-hydroxy-3-methyl-but-2-enyl pyrophosphate-driven antimicrobial and cytotoxic responses of pulmonary and systemic Vgamma2Vdelta2 T cells in macaques.
Ali Z, Shao L, Halliday L, Reichenberg A, Hintz M, Jomaa H, Chen ZW
Journal of immunology (Baltimore, Md. : 1950) 2007 Dec 15;179(12):8287-96
Journal of immunology (Baltimore, Md. : 1950) 2007 Dec 15;179(12):8287-96
Therapeutic targeting of CC ligand 21 or CC chemokine receptor 7 abrogates pulmonary fibrosis induced by the adoptive transfer of human pulmonary fibroblasts to immunodeficient mice.
Pierce EM, Carpenter K, Jakubzick C, Kunkel SL, Flaherty KR, Martinez FJ, Hogaboam CM
The American journal of pathology 2007 Apr;170(4):1152-64
The American journal of pathology 2007 Apr;170(4):1152-64
Chemokine receptors in head and neck cancer: association with metastatic spread and regulation during chemotherapy.
Muller A, Sonkoly E, Eulert C, Gerber PA, Kubitza R, Schirlau K, Franken-Kunkel P, Poremba C, Snyderman C, Klotz LO, Ruzicka T, Bier H, Zlotnik A, Whiteside TL, Homey B, Hoffmann TK
International journal of cancer 2006 May 1;118(9):2147-57
International journal of cancer 2006 May 1;118(9):2147-57
Trafficking pathways and characterization of CD4 and CD8 cells recruited to the skin of humans experimentally infected with Haemophilus ducreyi.
Humphreys TL, Baldridge LA, Billings SD, Campbell JJ, Spinola SM
Infection and immunity 2005 Jul;73(7):3896-902
Infection and immunity 2005 Jul;73(7):3896-902
Classification of distinct subtypes of peripheral T-cell lymphoma unspecified, identified by chemokine and chemokine receptor expression: Analysis of prognosis.
Ohshima K, Karube K, Kawano R, Tsuchiya T, Suefuji H, Yamaguchi T, Suzumiya J, Kikuchii M
International journal of oncology 2004 Sep;25(3):605-13
International journal of oncology 2004 Sep;25(3):605-13
Developing neonatal rabbit appendix, a primary lymphoid organ, is seeded by immature blood-borne B cells: evidence for roles for CD62L/PNAd, CCR7/CCL21, alpha4beta1 and LFA-1.
Sinha RK, Mage RG
Developmental and comparative immunology 2004 Jun;28(7-8):829-41
Developmental and comparative immunology 2004 Jun;28(7-8):829-41
Suppressive properties of human CD4+CD25+ regulatory T cells are dependent on CTLA-4 expression.
Birebent B, Lorho R, Lechartier H, de Guibert S, Alizadeh M, Vu N, Beauplet A, Robillard N, Semana G
European journal of immunology 2004 Dec;34(12):3485-96
European journal of immunology 2004 Dec;34(12):3485-96
Evasion from NK cell immunity by MHC class I chain-related molecules expressing colon adenocarcinoma.
Doubrovina ES, Doubrovin MM, Vider E, Sisson RB, O'Reilly RJ, Dupont B, Vyas YM
Journal of immunology (Baltimore, Md. : 1950) 2003 Dec 15;171(12):6891-9
Journal of immunology (Baltimore, Md. : 1950) 2003 Dec 15;171(12):6891-9
No comments: Submit comment
Supportive validation
- Submitted by
- R&D Systems (provider)
- Main image

- Experimental details
- CCR7 in Human PBMCs. CCR7 was detected in immersion fixed human peripheral blood mononuclear cells (PBMCs) using 25 µg/mL Mouse Anti-Human CCR7 Monoclonal Antibody (Catalog # MAB197) for 3 hours at room temperature. Cells were stained (red) and counterstained (green). View our protocol for Fluorescent ICC Staining of Non-adherent Cells.
Supportive validation
- Submitted by
- R&D Systems (provider)
- Main image

- Experimental details
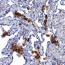
- CCR7 in Human Lung. CCR7 was detected in immersion fixed paraffin-embedded sections of human lung using Mouse Anti-Human CCR7 Monoclonal Antibody (Catalog # MAB197) at 5 µg/mL for 1 hour at room temperature followed by incubation with the Anti-Mouse IgG VisUCyte™ HRP Polymer Antibody (Catalog # VC001). Tissue was stained using DAB (brown) and counterstained with hematoxylin (blue). Specific staining was localized to cytoplasm in macrophages. View our protocol for IHC Staining with VisUCyte HRP Polymer Detection Reagents.
Supportive validation
- Submitted by
- R&D Systems (provider)
- Main image

- Experimental details
- Detection of CCR7 in Human PBMCs by Flow Cytometry. Human peripheral blood mononuclear cells (PBMCs) were stained with Mouse Anti-Human CD4 PE-conjugated Monoclonal Antibody (Catalog # FAB3791P) and either (A) Mouse Anti-Human CCR7 Monoclonal Antibody (Catalog # MAB197) or (B) Mouse IgG2A Isotype Control (Catalog # MAB003) followed by Allophycocyanin-conjugated Anti-Mouse IgG Secondary Antibody (Catalog # F0101B). View our protocol for Staining Membrane-associated Proteins.
Supportive validation
- Submitted by
- R&D Systems (provider)
- Main image

- Experimental details
- Chemotaxis Induced by CCL19/MIP-3 beta and Neutral-ization by Human CCR7 Antibody. Recombinant Human CCL19/MIP-3 beta (Catalog # 361-MI) chemoattracts the BaF3 mouse pro-B cell line transfected with human CCR7 in a dose-dependent manner (orange line). The amount of cells that migrated through to the lower chemotaxis chamber was measured by Resazurin (Catalog # AR002). Chemotaxis elicited by Recombinant Human CCL19/MIP-3 beta (50 ng/mL) is neutralized (green line) by increasing concentrations of Mouse Anti-Human CCR7 Monoclonal Antibody (Catalog # MAB197). The ND50 is typically 1-5 µg/mL.