Antibody data
- Antibody Data
- Antigen structure
- References [0]
- Comments [0]
- Validations
- Western blot [1]
- Immunohistochemistry [1]
Submit
Validation data
Reference
Comment
Report error
- Product number
- AM06233SU-N - Provider product page

- Provider
- OriGene
- Product name
- PYK2 (PTK2B) mouse monoclonal antibody, clone 5E2D5, Ascites
- Antibody type
- Monoclonal
- Description
- PYK2 (PTK2B) mouse monoclonal antibody, clone 5E2D5, Ascites
- Host
- Mouse
- Conjugate
- Unconjugated
- Epitope
- PTK2B
- Isotype
- IgG
- Antibody clone number
- 5E2D5
- Vial size
- 100 µl
No comments: Submit comment
Supportive validation
- Submitted by
- OriGene (provider)
- Main image

- Experimental details
- Western blot analysis using PYK2 antibody Cat.-No AM06233SU-N against Raji (Lane 1), PMA induced THP-1 (Lane 2), Jurkat (Lane 3) and Ramos (Lane 4) cell lysate.
- Validation comment
- WB
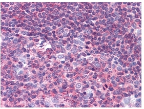
Supportive validation
- Submitted by
- OriGene (provider)
- Main image

- Experimental details
- Immunohistochemical analysis of paraffin-embedded human Tonsil tissues using PYK2 antibody Cat.-No AM06233SU-N
- Validation comment
- IHC