Antibody data
- Antibody Data
- Antigen structure
- References [3]
- Comments [0]
- Validations
- Western blot [1]
- Immunoprecipitation [1]
- Immunohistochemistry [2]
Submit
Validation data
Reference
Comment
Report error
- Product number
- GTX103117 - Provider product page

- Provider
- GeneTex
- Proper citation
- GeneTex Cat#GTX103117, RRID:AB_11164877
- Product name
- STAT2 antibody [C2C3], C-term
- Antibody type
- Polyclonal
- Reactivity
- Human, Mouse
- Host
- Rabbit
Submitted references A high-throughput pipeline for validation of antibodies.
miR-30a Remodels Subcutaneous Adipose Tissue Inflammation to Improve Insulin Sensitivity in Obesity.
Schisandrin A inhibits dengue viral replication via upregulating antiviral interferon responses through STAT signaling pathway.
Sikorski K, Mehta A, Inngjerdingen M, Thakor F, Kling S, Kalina T, Nyman TA, Stensland ME, Zhou W, de Souza GA, Holden L, Stuchly J, Templin M, Lund-Johansen F
Nature methods 2018 Nov;15(11):909-912
Nature methods 2018 Nov;15(11):909-912
miR-30a Remodels Subcutaneous Adipose Tissue Inflammation to Improve Insulin Sensitivity in Obesity.
Koh EH, Chernis N, Saha PK, Xiao L, Bader DA, Zhu B, Rajapakshe K, Hamilton MP, Liu X, Perera D, Chen X, York B, Trauner M, Coarfa C, Bajaj M, Moore DD, Deng T, McGuire SE, Hartig SM
Diabetes 2018 Dec;67(12):2541-2553
Diabetes 2018 Dec;67(12):2541-2553
Schisandrin A inhibits dengue viral replication via upregulating antiviral interferon responses through STAT signaling pathway.
Yu JS, Wu YH, Tseng CK, Lin CK, Hsu YC, Chen YH, Lee JC
Scientific reports 2017 Mar 24;7:45171
Scientific reports 2017 Mar 24;7:45171
No comments: Submit comment
Supportive validation
- Submitted by
- GeneTex (provider)
- Main image

- Experimental details
- Sample (30 ug of whole cell lysate) A: Jurkat B: Raji C: K562 D: THP-1 5% SDS PAGE GTX103117 diluted at 1:2000
Supportive validation
- Submitted by
- GeneTex (provider)
- Main image

- Experimental details
- STAT2 antibody immunoprecipitates STAT2 protein in IP experiments. IP Sample: 293T whole cell lysate/extract A. 40 £gg 293T whole cell lysate/extract B. Control with 2 £gg of preimmune rabbit IgG C. Immunoprecipitation of STAT2 protein by 2 £gg of STAT2 antibody (GTX103117) 7.5% SDS-PAGE The immunoprecipitated STAT2 protein was detected by STAT2 antibody (GTX103117) diluted at 1:1000. EasyBlot anti-rabbit IgG (GTX221666-01) was used as a secondary reagent.
Supportive validation
- Submitted by
- GeneTex (provider)
- Main image

- Experimental details
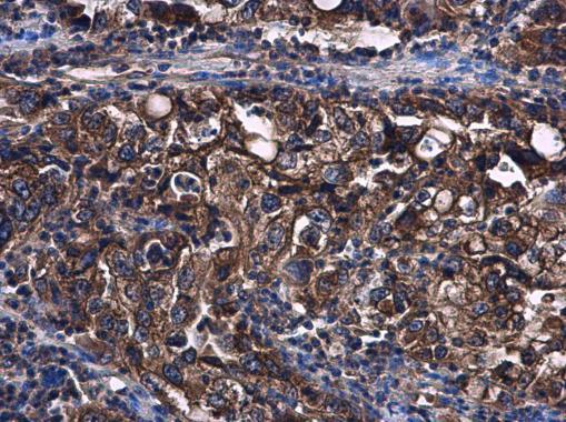
- STAT2 antibody [C2C3], C-term detects STAT2 protein at cytoplasm in human cervical carcinoma by immunohistochemical analysis. Sample: Paraffin-embedded human cervical carcinoma. STAT2 antibody [C2C3], C-term (GTX103117) diluted at 1:500.
- Submitted by
- GeneTex (provider)
- Main image

- Experimental details
- STAT2 antibody [C2C3], C-term detects STAT2 protein at cytoplasm in human endometrial carcinoma by immunohistochemical analysis. Sample: Paraffin-embedded human endometrial carcinoma. STAT2 antibody [C2C3], C-term (GTX103117) diluted at 1:500.