Antibody data
- Antibody Data
- Antigen structure
- References [0]
- Comments [0]
- Validations
- Western blot [1]
- Immunohistochemistry [1]
Submit
Validation data
Reference
Comment
Report error
- Product number
- AP06251PU-N - Provider product page

- Provider
- OriGene
- Product name
- NF-kB p65 (RELA) rabbit polyclonal antibody, Aff - Purified
- Antibody type
- Polyclonal
- Description
- NF-kB p65 (RELA) rabbit polyclonal antibody, Aff - Purified
- Host
- Rabbit
- Conjugate
- Unconjugated
- Epitope
- RELA
- Antibody clone number
- NULL
- Vial size
- 100 µg
- Concentration
- 1.0 mg/ml
No comments: Submit comment
Supportive validation
- Submitted by
- OriGene (provider)
- Main image

- Experimental details
- Western blot (WB) analysis of NFkB-p65 antibody at 1/500 dilution Lane1:Hela whole cell lysate Lane2:Mouse kidney tissue lysate Lane3:Rat kidney tissue lysate
- Validation comment
- WB
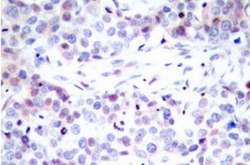
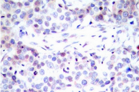
Supportive validation
- Submitted by
- OriGene (provider)
- Main image

- Experimental details
- Immunohistochemistry (IHC) analyzes of NF?B-p65 antibody in paraffin-embedded human breast carcinoma tissue.
- Validation comment
- IHC