MA5-51360
antibody from Invitrogen Antibodies
Targeting: RELA
NFKB3, p65
Antibody data
- Antibody Data
- Antigen structure
- References [0]
- Comments [0]
- Validations
- Western blot [2]
- Immunocytochemistry [1]
- Immunohistochemistry [3]
- Chromatin Immunoprecipitation [1]
Submit
Validation data
Reference
Comment
Report error
- Product number
- MA5-51360 - Provider product page

- Provider
- Invitrogen Antibodies
- Product name
- NFkB p65 Recombinant Rabbit Monoclonal Antibody (6D6R8)
- Antibody type
- Monoclonal
- Antigen
- Synthetic peptide
- Description
- Immunogen sequence: LGALLGNSTD PAVFTDLASV DNSEFQQLLN QGIPVAPHTT EPMLMEYPEA ITRLVTGAQR PPDPAPAPLG APGLPNGLLS GDEDFSSIAD MDFSALLSQI SS
- Reactivity
- Human, Mouse, Rat
- Host
- Rabbit
- Isotype
- IgG
- Antibody clone number
- 6D6R8
- Vial size
- 100 μL
- Concentration
- 1 mg/mL
- Storage
- -20°C, Avoid Freeze/Thaw Cycles
No comments: Submit comment
Supportive validation
- Submitted by
- Invitrogen Antibodies (provider)
- Main image

- Experimental details
- Western blot analysis of NFkB p65 in extracts from wild type(WT) and NF-kB p65/RelA knockout (KO) HeLa cells. Samples were incubated with NFkB p65 Recombinant monoclonal antibody (Product # MA5-51360) using a dilution of 1:10,000 followed by HRP Goat Anti-Rabbit IgG (H+L) secondary antibody at a dilution of 1:10,000. Lysates/proteins: 25 µg per lane. Blocking buffer: 3% nonfat dry milk in TBST. Detection: ECL Basic Kit. Exposure time: 10s.
- Submitted by
- Invitrogen Antibodies (provider)
- Main image

- Experimental details
- Western blot analysis of NFkB p65 in extracts of various cell lines. Samples were incubated with NFkB p65 Recombinant monoclonal antibody (Product # MA5-51360) using a dilution of 1:10,000 followed by HRP Goat Anti-Rabbit IgG (H+L) secondary antibody at a dilution of 1:10,000. Lysates/proteins: 25 µg per lane. Blocking buffer: 3% nonfat dry milk in TBST. Detection: ECL Basic Kit. Exposure time: 30s.
Supportive validation
- Submitted by
- Invitrogen Antibodies (provider)
- Main image

- Experimental details
- Immunocytochemistry (confocal imaging) analysis of NFkB p65 in HeLa cells. Samples were incubated with NFkB p65 Recombinant monoclonal antibody (Product # MA5-51360) using a dilution of 1:100 (Red). The cells were counterstained with Monomethyl-HistoneH3-K4 Rabbit mAb (dilution 1:300) (Green). DAPI was used for nuclear staining (blue). Objective: 60x.
Supportive validation
- Submitted by
- Invitrogen Antibodies (provider)
- Main image

- Experimental details
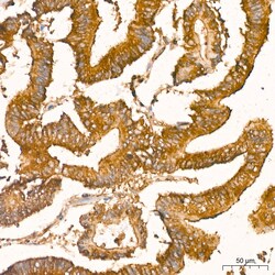
- Immunohistochemistry analysis of NFkB p65 in paraffin-embedded human colon carcinoma. Samples were incubated with NFkB p65 Recombinant monoclonal antibody (Product # MA5-51360) using a dilution of 1:200 (40x lens). Perform high pressure antigen retrieval with 10 mM citrate buffer pH 6.0 before commencing with IHC staining protocol.
- Submitted by
- Invitrogen Antibodies (provider)
- Main image

- Experimental details
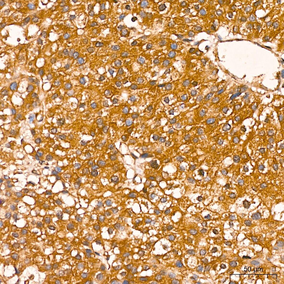
- Immunohistochemistry analysis of NFkB p65 in paraffin-embedded human liver. Samples were incubated with NFkB p65 Recombinant monoclonal antibody (Product # MA5-51360) using a dilution of 1:200 (40x lens). Perform high pressure antigen retrieval with 10 mM citrate buffer pH 6.0 before commencing with IHC staining protocol.
- Submitted by
- Invitrogen Antibodies (provider)
- Main image

- Experimental details
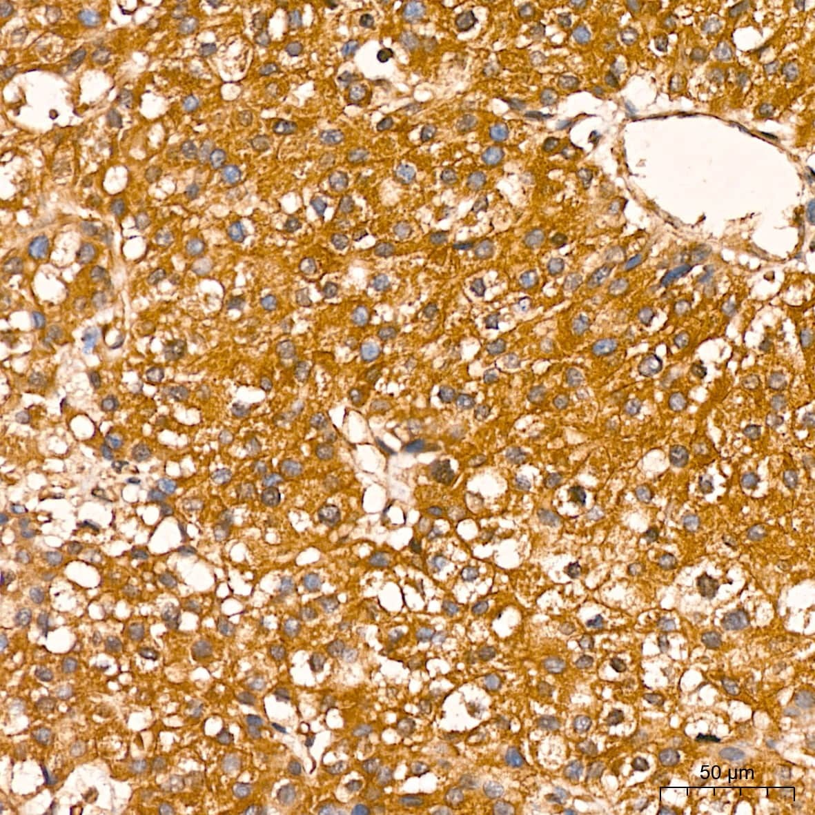
- Immunohistochemistry analysis of NFkB p65 in paraffin-embedded human liver. Samples were incubated with NFkB p65 Recombinant monoclonal antibody (Product # MA5-51360) using a dilution of 1:200 (40x lens). Perform high pressure antigen retrieval with 10 mM citrate buffer pH 6.0 before commencing with IHC staining protocol.
Supportive validation
- Submitted by
- Invitrogen Antibodies (provider)
- Main image

- Experimental details
- ChIP assay of NFkB p65 in HT-1080 cells treated by TNF alpha (20 ng/mL) at 37°C for 30 minutes. Samples were incubated with NFkB p65 Recombinant monoclonal antibody (Product # MA5-51360) with rabbit IgG. The amount of immunoprecipitated DNA was checked by quantitative PCR. Histogram was constructed by the ratios of the immunoprecipitated DNA to the input.