Antibody data
- Antibody Data
- Antigen structure
- References [3]
- Comments [0]
- Validations
- Immunohistochemistry [3]
Submit
Validation data
Reference
Comment
Report error
- Product number
- ABIN672156 - Provider product page

- Provider
- antibodies-online
- Proper citation
- Antibodies-Online Cat#ABIN672156, RRID:AB_11209261
- Product name
- anti-Neurofilament, Heavy Polypeptide (NEFH) (AA 5-55) antibody
- Antibody type
- Polyclonal
- Description
- Purified by Protein A.
- Reactivity
- Human, Mouse, Rat
- Host
- Rabbit
- Epitope
- AA 5-55
- Isotype
- IgG
- Vial size
- 100 μL
- Storage
- Store at -20°C
Submitted references Transplantation of Cerebral Dopamine Neurotrophic Factor Transducted BMSCs in Contusion Spinal Cord Injury of Rats: Promotion of Nerve Regeneration by Alleviating Neuroinflammation.
Lentiviral-mediated transfer of CDNF promotes nerve regeneration and functional recovery after sciatic nerve injury in adult rats.
Myocardin-related transcription factor-A is a key regulator in retinoic acid-induced neural-like differentiation of adult bone marrow-derived mesenchymal stem cells.
Zhao H, Cheng L, Du X, Hou Y, Liu Y, Cui Z, Nie L
Molecular neurobiology 2016 Jan;53(1):187-199
Molecular neurobiology 2016 Jan;53(1):187-199
Lentiviral-mediated transfer of CDNF promotes nerve regeneration and functional recovery after sciatic nerve injury in adult rats.
Cheng L, Liu Y, Zhao H, Zhang W, Guo YJ, Nie L
Biochemical and biophysical research communications 2013 Oct 18;440(2):330-5
Biochemical and biophysical research communications 2013 Oct 18;440(2):330-5
Myocardin-related transcription factor-A is a key regulator in retinoic acid-induced neural-like differentiation of adult bone marrow-derived mesenchymal stem cells.
Wang N, Xu Y, Qin T, Wang FP, Ma LL, Luo XG, Zhang TC
Gene 2013 Jul 10;523(2):178-86
Gene 2013 Jul 10;523(2):178-86
No comments: Submit comment
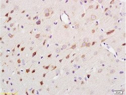
Supportive validation
- Submitted by
- antibodies-online (provider)
- Main image

- Experimental details
- IHC
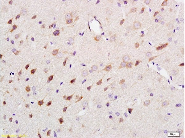
- Submitted by
- antibodies-online (provider)
- Main image

- Experimental details
- IHC
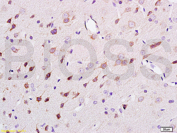
- Submitted by
- antibodies-online (provider)
- Main image

- Experimental details
- IHC