Antibody data
- Antibody Data
- Antigen structure
- References [0]
- Comments [0]
- Validations
- Immunohistochemistry [2]
Submit
Validation data
Reference
Comment
Report error
- Product number
- NBP2-48254 - Provider product page

- Provider
- Novus Biologicals
- Product name
- Mouse Monoclonal NF-H Antibody
- Antibody type
- Monoclonal
- Description
- Protein A or G purified. This MAb reacts with a 200kDa and 68kDa protein, identified as heavy and light sub-units of neurofilaments (NF-H & NF-L). Neurofilaments make up the main structural elements of axons and dendrites and are found in neurons, peripheral nerves, and sympathetic ganglion cells. Neurofilaments consist of three major subunits with molecular weights of 68kDa (NF-L), 160kDa (NF-M) and 200kDa (NF-H). Anti-neurofilament stains a number of neural, neuroendocrine, and endocrine tumors. Neuromas, ganglioneuromas, gangliogliomas, ganglioneuroblastomas, and neuroblastomas stain positively for anti-neurofilament. Neurofilaments are also present in paragangliomas as well as adrenal and extra-adrenal pheochromocytomas. Carcinoids, neuroendocrine carcinomas of the skin, and oat cell carcinomas of the lung also express neurofilament.
- Reactivity
- Human, Mouse, Rat, Chicken/Avian, Porcine
- Host
- Mouse
- Isotype
- IgG
- Vial size
- 7 ml
- Storage
- Store at 4C.
No comments: Submit comment
Supportive validation
- Submitted by
- Novus Biologicals (provider)
- Main image

- Experimental details
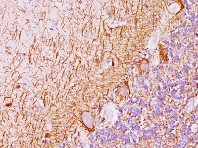
- Immunohistochemistry-Paraffin: NF-H Antibody (NF421 + NFL/736) - IHC-Prediluted [NBP2-48254] - Human Cerebellum stained with Neurofilament Monoclonal Antibody (NF421 + NFL/736).
- Submitted by
- Novus Biologicals (provider)
- Main image

- Experimental details
- Immunohistochemistry-Paraffin: NF-H Antibody (NF421 + NFL/736) - IHC-Prediluted [NBP2-48254] - Human Cerebellum stained with Neurofilament Monoclonal Antibody (NF421 + NFL/736).