Antibody data
- Antibody Data
- Antigen structure
- References [0]
- Comments [0]
- Validations
- Western blot [1]
- Immunocytochemistry [3]
- Immunohistochemistry [1]
- Flow cytometry [1]
Submit
Validation data
Reference
Comment
Report error
- Product number
- TA336627 - Provider product page

- Provider
- OriGene
- Product name
- Mouse Monoclonal Fibrillarin Antibody (38F3)
- Antibody type
- Monoclonal
- Description
- Mouse Monoclonal Fibrillarin Antibody (38F3)
- Host
- Mouse
- Conjugate
- Unconjugated
- Epitope
- FBL
- Isotype
- IgG
- Antibody clone number
- 38F3
- Vial size
- 250 µl
- Concentration
- This product is unpurified. The exact concent
No comments: Submit comment
Supportive validation
- Submitted by
- OriGene (provider)
- Main image

- Experimental details
- Western Blot: Fibrillarin Antibody (38F3) [TA336627] - Western blot analysis of Fibrillarin expression on yeast protein extracts using TA336627.
- Validation comment
- WB
Supportive validation
- Submitted by
- OriGene (provider)
- Main image

- Experimental details
- Immunocytochemistry/Immunofluorescence: Fibrillarin Antibody (38F3) [TA336627] - Fibrillarin immunofluorescence in fibroblasts. Image from verified customer review.
- Validation comment
- IF
- Submitted by
- OriGene (provider)
- Main image

- Experimental details
- Immunocytochemistry/Immunofluorescence: Fibrillarin Antibody (38F3) [TA336627] - Human SH-SY5Y cells stained with TA336627, showing prominent specular nucleolar staining. The nuclei are counter stained with DAPI (blue), so these spots appear very pale blu
- Validation comment
- IF
- Submitted by
- OriGene (provider)
- Main image

- Experimental details
- Immunocytochemistry/Immunofluorescence: Fibrillarin Antibody (38F3) [TA336627] - IF Confocal analysis of MCF7 cells using Fibrillarin antibody (TA336627, 1:5). An Alexa Fluor 488-conjugated Goat to mouse IgG was used as secondary antibody (green). Actin f
- Validation comment
- IF
Supportive validation
- Submitted by
- OriGene (provider)
- Main image

- Experimental details
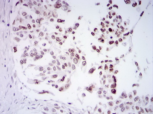
- Immunohistochemistry-Paraffin: Fibrillarin Antibody (38F3) [TA336627] - IHC staining of Fibrillarin in human ovarian cancer using DAB with hematoxylin counterstain.
- Validation comment
- IHC
Supportive validation
- Submitted by
- OriGene (provider)
- Main image

- Experimental details
- Flow Cytometry: Fibrillarin Antibody (38F3) [TA336627] - Fibrillarin antibody was tested at 1:400 in HEK293 cells using an Alexa Fluor 488 secondary (shown in green) alongside unstained cells (shown in red).
- Validation comment
- FC