Antibody data
- Antibody Data
- Antigen structure
- References [0]
- Comments [0]
- Validations
- Western blot [2]
- Immunohistochemistry [1]
- Flow cytometry [1]
Submit
Validation data
Reference
Comment
Report error
- Product number
- R31213 - Provider product page

- Provider
- NSJ Bioreagents
- Product name
- BAG5 Antibody
- Antibody type
- Polyclonal
- Description
- This highly specific BAG5 antibody is suitable for use in Western blot/Flow cytometry applications with human, mouse and rat samples.
- Reactivity
- Human, Mouse, Rat
- Host
- Rabbit
- Conjugate
- Unconjugated
- Vial size
- 100 ug
- Concentration
- 0.5mg/ml if reconstituted with 0.2ml sterile DI water
- Storage
- After reconstitution, the BAG5 antibody can be stored for up to one month at 4oC. For long-term, aliquot and store at -20oC. Avoid repeated freezing and thawing.
No comments: Submit comment
Supportive validation
- Submitted by
- NSJ Bioreagents (provider)
- Main image

- Experimental details
- Western blot testing of BAG5 antibody; Lane 1: rat thymus; 2: (r) spleen; 3: (r) testis; 4: human PANC cell lysate. Predicted/observed size ~51KD
- Submitted by
- NSJ Bioreagents (provider)
- Main image

- Experimental details
- Western blot testing of 1) human HeLa, 2) human HepG2, 3) rat testis and 4) mouse testis tissue lysate. Predicted molecular weight: ~56/51 kDa (isoforms a/b).
Supportive validation
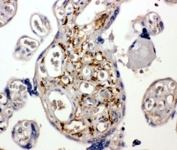
- Submitted by
- NSJ Bioreagents (provider)
- Main image

- Experimental details
- IHC-P: BAG5 antibody testing of human placenta tissue
Supportive validation
- Submitted by
- NSJ Bioreagents (provider)
- Main image

- Experimental details
- Flow cytometry testing of human A431 cells with BAG5 antibody at 1ug/million cells (blocked with goat sera); Red=cells alone, Green=isotype control, Blue= BAG5 antibody.