Antibody data
- Antibody Data
- Antigen structure
- References [0]
- Comments [0]
- Validations
- Western blot [1]
- Immunohistochemistry [2]
Submit
Validation data
Reference
Comment
Report error
- Product number
- 36-3009 - Provider product page

- Provider
- ABEOMICS Inc.
- Product name
- Anti-CD43 Antibody
- Antibody type
- Monoclonal
- Description
- This antibody recognizes a 95/115/135kDa (depending upon the extent of glycosylation) surface transmembrane glycoprotein, identified as CD43 (leukosialin, sialophorin, or leukocyte sialoglycoprotein). CD43 is expressed on all thymocytes and T-lymphocytes. Defects in the CD43 molecule are associated with the development of Wiskott-Aldrich syndrome. CD43 is also found in a range of lymphoid and myeloid tumors. Expression of CD43 may be used to identify B-lymphoblastic lymphoma, since the malignant cells in this condition are often CD43 positive. Since CD43 antibody stains granulocytes and their precursors, this antibody may be used as a marker for myeloid tumors. This antibody is also useful in identification and classification of T-cell malignancies.
- Reactivity
- Human
- Host
- Mouse
- Conjugate
- Unconjugated
- Antigen sequence
Myeloblastic KG1 cells were used as
the immunogen for this antibody.- Isotype
- IgG
- Antibody clone number
- DF-T1
- Vial size
- 100 µg
- Concentration
- 0.5 mg/ml
- Storage
- Store the antibody at 4°C; stable for 6 months. For long-term storage; store at -20°C. Avoid repeated freeze and thaw cycles.
No comments: Submit comment
Supportive validation
- Submitted by
- ABEOMICS Inc. (provider)
- Main image

- Experimental details
- Western blot analysis of Anti-CD43 antibody in human spleen tissue using 1 µg/ml of Anti-CD43 (DF-T1).
- Protocol
- Protocol
Supportive validation
- Submitted by
- ABEOMICS Inc. (provider)
- Main image

- Experimental details
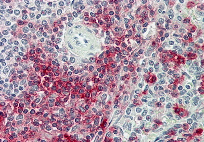
- Immunohistochemical analysis of CD43 in human spleen using CD43 antibody (Clone: DF-T1) at 1:200 dilution.
- Protocol
- Protocol
- Submitted by
- ABEOMICS Inc. (provider)
- Main image

- Experimental details
- Immunohistochemical analysis of CD43 in human spleen tissue using CD43 antibody (Clone: DF-T1) at 10 µg/ml.
- Protocol
- Protocol