Antibody data
- Antibody Data
- Antigen structure
- References [3]
- Comments [0]
- Validations
- Immunohistochemistry [1]
- Other assay [1]
Submit
Validation data
Reference
Comment
Report error
- Product number
- PAB0396 - Provider product page

- Provider
- Abnova Corporation
- Proper citation
- Abnova Corporation Cat#PAB0396, RRID:AB_982298
- Product name
- ABL1 (phospho Y134) polyclonal antibody
- Antibody type
- Polyclonal
- Description
- Rabbit polyclonal antibody raised against synthetic phosphopeptide of ABL1.
- Storage
- Store at 4°C. For long term storage store at -20°C.Aliquot to avoid repeated freezing and thawing.
Submitted references Interpretation of submicroscopic deletions of the BCR or ABL gene should not depend on extra signal-FISH: problems in interpretation of submicroscopic deletion of the BCR or ABL gene with extra signal-FISH.
Chronic myeloid leukaemia: an investigation into the role of Bcr-Abl-induced abnormalities in glucose transport regulation.
Identification of mcl-1 as a BCR/ABL-dependent target in chronic myeloid leukemia (CML): evidence for cooperative antileukemic effects of imatinib and mcl-1 antisense oligonucleotides.
Kim YR, Cho HI, Yoon SS, Park S, Kim BK, Lee YK, Chun H, Kim HC, Lee DS
Genes, chromosomes & cancer 2005 May;43(1):37-44
Genes, chromosomes & cancer 2005 May;43(1):37-44
Chronic myeloid leukaemia: an investigation into the role of Bcr-Abl-induced abnormalities in glucose transport regulation.
Barnes K, McIntosh E, Whetton AD, Daley GQ, Bentley J, Baldwin SA
Oncogene 2005 May 5;24(20):3257-67
Oncogene 2005 May 5;24(20):3257-67
Identification of mcl-1 as a BCR/ABL-dependent target in chronic myeloid leukemia (CML): evidence for cooperative antileukemic effects of imatinib and mcl-1 antisense oligonucleotides.
Aichberger KJ, Mayerhofer M, Krauth MT, Skvara H, Florian S, Sonneck K, Akgul C, Derdak S, Pickl WF, Wacheck V, Selzer E, Monia BP, Moriggl R, Valent P, Sillaber C
Blood 2005 Apr 15;105(8):3303-11
Blood 2005 Apr 15;105(8):3303-11
No comments: Submit comment
Supportive validation
- Submitted by
- Abnova Corporation (provider)
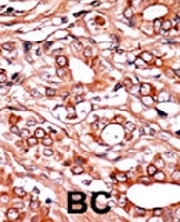
- Main image

- Experimental details
- Formalin-fixed and paraffin-embedded human cancer tissue reacted with ABL1 (phospho Y134) polyclonal antibody (Cat # PAB0396) which was peroxidase-conjugated to the secondary antibody followed by AEC staining. This data demonstrates the use of this antibody for immunohistochemistry; clinical relevance has not been evaluated. BC = breast carcinoma.
- Validation comment
- Immunohistochemistry (Formalin/PFA-fixed paraffin-embedded sections)
Supportive validation
- Submitted by
- Abnova Corporation (provider)
- Main image

- Experimental details
- Dot blot analysis of ABL1 (phospho Y134) polyclonal antibody (Cat # PAB0396) on nitrocellulose membrane. 50 ng of Phospho-peptide or Non Phospho-peptide per dot were adsorbed. Antibody working concentrations are 0.5 ug/mL.
- Validation comment
- Dot Blot (Peptide)