Antibody data
- Antibody Data
- Antigen structure
- References [4]
- Comments [0]
- Validations
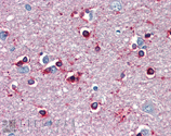
- Immunocytochemistry [1]
Submit
Validation data
Reference
Comment
Report error
- Product number
- ADI-VAP-SV064-E - Provider product page

- Provider
- Enzo Life Sciences
- Proper citation
- Enzo Life Sciences Cat#ADI-VAP-SV064-E, RRID:AB_2039605
- Product name
- Syntaxin 1A, pAb
- Antibody type
- Polyclonal
- Antigen
- Synthetic peptide
- Description
- Protein A affinity purified. Liquid. In PBS, pH 7.2, containing 50% glycerol and 0.09% sodium azide.
Submitted references Glucose-stimulated insulin secretion is coupled to the interaction of actin with the t-SNARE (target membrane soluble N-ethylmaleimide-sensitive factor attachment protein receptor protein) complex.
Identification of SNARE and cell trafficking regulatory proteins in the salivary glands of the lone star tick, Amblyomma americanum (L.).
Synaptotagmin I is a molecular target for lead.
G protein modulation of N-type calcium channels is facilitated by physical interactions between syntaxin 1A and Gbetagamma.
Thurmond DC, Gonelle-Gispert C, Furukawa M, Halban PA, Pessin JE
Molecular endocrinology (Baltimore, Md.) 2003 Apr;17(4):732-42
Molecular endocrinology (Baltimore, Md.) 2003 Apr;17(4):732-42
Identification of SNARE and cell trafficking regulatory proteins in the salivary glands of the lone star tick, Amblyomma americanum (L.).
Karim S, Essenberg RC, Dillwith JW, Tucker JS, Bowman AS, Sauer JR
Insect biochemistry and molecular biology 2002 Dec;32(12):1711-21
Insect biochemistry and molecular biology 2002 Dec;32(12):1711-21
Synaptotagmin I is a molecular target for lead.
Bouton CM, Frelin LP, Forde CE, Arnold Godwin H, Pevsner J
Journal of neurochemistry 2001 Mar;76(6):1724-35
Journal of neurochemistry 2001 Mar;76(6):1724-35
G protein modulation of N-type calcium channels is facilitated by physical interactions between syntaxin 1A and Gbetagamma.
Jarvis SE, Magga JM, Beedle AM, Braun JE, Zamponi GW
The Journal of biological chemistry 2000 Mar 3;275(9):6388-94
The Journal of biological chemistry 2000 Mar 3;275(9):6388-94
No comments: Submit comment
Supportive validation
- Submitted by
- Enzo Life Sciences (provider)
- Main image

- Experimental details
- Immunohistochemistry analysis of human brain, cortex tissue stained with Syntaxin 1A, pAb at 10µg/ml.