Antibody data
- Antibody Data
- Antigen structure
- References [0]
- Comments [0]
- Validations
- Western blot [1]
- ELISA [1]
- Immunocytochemistry [1]
- Immunohistochemistry [2]
Submit
Validation data
Reference
Comment
Report error
- Product number
- AM20583PU-N - Provider product page

- Provider
- OriGene
- Product name
- RUNX2 mouse monoclonal antibody, clone 4D5, Purified
- Antibody type
- Monoclonal
- Description
- RUNX2 mouse monoclonal antibody, clone 4D5, Purified
- Host
- Mouse
- Conjugate
- Unconjugated
- Epitope
- RUNX2
- Isotype
- IgG
- Antibody clone number
- 4D5
- Vial size
- 50 µg
- Concentration
- 0.4 mg/ml
No comments: Submit comment
Supportive validation
- Submitted by
- OriGene (provider)
- Main image

- Experimental details
- RUNX2 monoclonal antibody, clone 4D5 Western Blot analysis of RUNX2 expression in PC-12.
- Validation comment
- WB
Supportive validation
- Submitted by
- OriGene (provider)
- Main image

- Experimental details
- Detection limit for recombinant GST tagged RUNX2 is approximately 10 ng/ml as a capture antibody.
- Validation comment
- ELISA
Supportive validation
- Submitted by
- OriGene (provider)
- Main image

- Experimental details
- Immunofluorescence of monoclonal antibody to RUNX2 on HeLa cell (antibody concentration 10 ug/ml).
- Validation comment
- IF
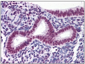
Supportive validation
- Submitted by
- OriGene (provider)
- Main image

- Experimental details
- Formalin-Fixed, Paraffin-Embedded Human Uterus stained with RUNX2 Antibody (Clone 4D5) at 5 ug/ml after heat-induced antigen retrieval.
- Validation comment
- IHC
- Submitted by
- OriGene (provider)
- Main image

- Experimental details
- Formalin-Fixed, Paraffin-Embedded Human Prostate stained with RUNX2 Antibody (Clone 4D5) at 5 ug/ml after heat-induced antigen retrieval.
- Validation comment
- IHC