Antibody data
- Antibody Data
- Antigen structure
- References [0]
- Comments [0]
- Validations
- Western blot [1]
- Immunocytochemistry [1]
- Immunohistochemistry [1]
Submit
Validation data
Reference
Comment
Report error
- Product number
- RQ7896 - Provider product page

- Provider
- NSJ Bioreagents
- Product name
- CD13 Antibody / Aminopeptidase N
- Antibody type
- Monoclonal
- Description
- This highly specific CD13 antibody is suitable for use in Western blot/Immunohistochemistry/Immunofluorescence applications with human, mouse and rat, monkey samples.
- Reactivity
- Human, Mouse, Rat, Simian
- Host
- Mouse
- Conjugate
- Unconjugated
- Antibody clone number
- 9G5
- Vial size
- 100 ug
- Concentration
- 0.5mg/ml if reconstituted with 0.2ml sterile DI water
- Storage
- After reconstitution, the CD13 antibody can be stored for up to one month at 4oC. For long-term, aliquot and store at -20oC. Avoid repeated freezing and thawing.
No comments: Submit comment
Supportive validation
- Submitted by
- NSJ Bioreagents (provider)
- Main image

- Experimental details
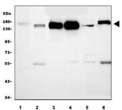
- Western bot testing of 1) human ThP-1, 2) human PC-3, 3) monkey kidney, 4) rat kidney, 5) rat liver and 6) mouse kidney tissue lysate with CD13 antibody. Expected molecular weight: 110-150 kDa depending on glycosylation level.
Supportive validation
- Submitted by
- NSJ Bioreagents (provider)
- Main image

- Experimental details
- Immunofluorescent staining of FFPE human HepG2 cells with CD13 antibody (green) and DAPI nuclear stain (blue). HIER: steam section in pH6 citrate buffer for 20 min.
Supportive validation
- Submitted by
- NSJ Bioreagents (provider)
- Main image

- Experimental details
- IHC staining of FFPE rat intestine tissue with CD13 antibody. HIER: boil tissue sections in pH8 EDTA for 20 min and allow to cool before testing.