Antibody data
- Antibody Data
- Antigen structure
- References [7]
- Comments [0]
- Validations
- Immunohistochemistry [1]
- Reverse phase protein array [1]
Submit
Validation data
Reference
Comment
Report error
- Product number
- sc-7300 - Provider product page

- Provider
- Santa Cruz Biotechnology
- Proper citation
- Santa Cruz Biotechnology Cat#sc-7300, RRID:AB_626817
- Product name
- Anti-CREBBP
- Antibody type
- Monoclonal
- Antigen
- Synthetic peptide
- Reactivity
- Human
- Host
- Mouse
Submitted references CREB up-regulates long non-coding RNA, HULC expression through interaction with microRNA-372 in liver cancer.
Transcriptional regulation of human dual specificity protein phosphatase 1 (DUSP1) gene by glucocorticoids.
Histone acetyltransferase p300 is a coactivator for transcription factor REL and is C-terminally truncated in the human diffuse large B-cell lymphoma cell line RC-K8.
Histone deacetylase inhibitors induce FPGS mRNA expression and intracellular accumulation of long-chain methotrexate polyglutamates in childhood acute lymphoblastic leukemia: implications for combination therapy
Role of CBP and SATB-1 in aging, dietary restriction, and insulin-like signaling.
Mechanisms of protein kinase C signaling in the modulation of 3',5'-cyclic adenosine monophosphate-mediated steroidogenesis in mouse gonadal cells.
MOZ-TIF2 repression of nuclear receptor-mediated transcription requires multiple domains in MOZ and in the CID domain of TIF2.
Wang J, Liu X, Wu H, Ni P, Gu Z, Qiao Y, Chen N, Sun F, Fan Q
Nucleic acids research 2010 Sep;38(16):5366-83
Nucleic acids research 2010 Sep;38(16):5366-83
Transcriptional regulation of human dual specificity protein phosphatase 1 (DUSP1) gene by glucocorticoids.
Shipp LE, Lee JV, Yu CY, Pufall M, Zhang P, Scott DK, Wang JC
PloS one 2010 Oct 29;5(10):e13754
PloS one 2010 Oct 29;5(10):e13754
Histone acetyltransferase p300 is a coactivator for transcription factor REL and is C-terminally truncated in the human diffuse large B-cell lymphoma cell line RC-K8.
Garbati MR, Alço G, Gilmore TD
Cancer letters 2010 May 28;291(2):237-45
Cancer letters 2010 May 28;291(2):237-45
Histone deacetylase inhibitors induce FPGS mRNA expression and intracellular accumulation of long-chain methotrexate polyglutamates in childhood acute lymphoblastic leukemia: implications for combination therapy
G J Leclerc, C Mou, G M Leclerc, A M Mian, J C Barredo
Leukemia 2010 Jan;24(3):552-562
Leukemia 2010 Jan;24(3):552-562
Role of CBP and SATB-1 in aging, dietary restriction, and insulin-like signaling.
Zhang M, Poplawski M, Yen K, Cheng H, Bloss E, Zhu X, Patel H, Mobbs CV
PLoS biology 2009 Nov;7(11):e1000245
PLoS biology 2009 Nov;7(11):e1000245
Mechanisms of protein kinase C signaling in the modulation of 3',5'-cyclic adenosine monophosphate-mediated steroidogenesis in mouse gonadal cells.
Manna PR, Huhtaniemi IT, Stocco DM
Endocrinology 2009 Jul;150(7):3308-17
Endocrinology 2009 Jul;150(7):3308-17
MOZ-TIF2 repression of nuclear receptor-mediated transcription requires multiple domains in MOZ and in the CID domain of TIF2.
Yin H, Glass J, Blanchard KL
Molecular cancer 2007 Aug 13;6:51
Molecular cancer 2007 Aug 13;6:51
No comments: Submit comment
Supportive validation
- Submitted by
- per
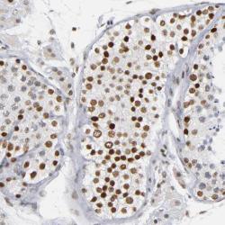
- Main image

- Experimental details
- Immunohistochemical staining of human testis shows strong nuclear positivity in cells in seminiferus ducts.
- Validation comment
- Staining pattern consistent with experimental and/or bioinformatic data.
Non-supportive validation
- Submitted by
- 561fce546b842
- Main image

- Experimental details
- CBP (santa cruz sc-7300) 1:500 in milk, 2nd 5000M 300Kd for WB. CBP 1:500 conditions for RPPA slide.
- Sample type
- Cell Lines
- Validation comment
- Bad antibody for RPPA
- Primary Ab dilution
- 1:500
- Other comments
- Bad correlation. r-squared less than 0.5.
- Conjugate
- Horseradish Peroxidase
- Secondary Ab
- Secondary Ab
- Secondary Ab dilution
- 1:15000