Antibody data
- Antibody Data
- Antigen structure
- References [0]
- Comments [0]
- Validations
- Western blot [1]
- Immunohistochemistry [1]
Submit
Validation data
Reference
Comment
Report error
- Product number
- F44217 - Provider product page

- Provider
- NSJ Bioreagents
- Product name
- FGFR3 Antibody
- Antibody type
- Polyclonal
- Description
- This highly specific FGFR3 antibody is suitable for use in Immunohistochemistry/Western blot/ELISA applications with human and mouse samples.
- Reactivity
- Human, Mouse
- Host
- Rabbit
- Conjugate
- Unconjugated
- Vial size
- 0.08 ml, 0.4 ml
- Concentration
- In 1X PBS, pH 7.4, with 0.09% sodium azide
- Storage
- Aliquot the FGFR3 antibody and store frozen at -20oC or colder. Avoid repeated freeze-thaw cycles.
No comments: Submit comment
Supportive validation
- Submitted by
- NSJ Bioreagents (provider)
- Main image

- Experimental details
- FGFR3 antibody western blot analysis in 293 lysate. Predicted molecular weight: 87-135 kDa depending on glycosylation level.
Supportive validation
- Submitted by
- NSJ Bioreagents (provider)
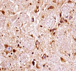
- Main image

- Experimental details
- FGFR3 antibody immunohistochemistry analysis in formalin fixed and paraffin embedded mouse brain tissue.