Antibody data
- Antibody Data
- Antigen structure
- References [0]
- Comments [0]
- Validations
- Western blot [2]
- Immunohistochemistry [1]
Submit
Validation data
Reference
Comment
Report error
- Product number
- AP06573PU-N - Provider product page

- Provider
- Acris Antibodies GmbH
- Proper citation
- Acris Antibodies GmbH Cat#AP06573PU-N, RRID:AB_1621355
- Product name
- anti PPAR-gamma
- Antibody type
- Polyclonal
- Antigen
- Synthetic peptide, corresponding to amino acids 90-120 of Human PPAR-γ.
- Reactivity
- Human, Mouse
- Host
- Rabbit
- Vial size
- 0.1 mg
- Concentration
- 1.0 mg/ml
No comments: Submit comment
Supportive validation
- Submitted by
- Acris Antibodies GmbH (provider)
- Main image

- Experimental details
- Western blot (WB) analysis of PPAR- Antibody in extracts from K562 cells.
- Submitted by
- Acris Antibodies GmbH (provider)
- Main image

- Experimental details
- Western blot (WB) analysis of PPAR-γ antibody (Cat.-No.: AP06573PU-N) in extracts from K562 cells.
Supportive validation
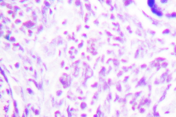
- Submitted by
- Acris Antibodies GmbH (provider)
- Main image

- Experimental details
- Immunohistochemistry (IHC) analyzes of PPAR-γ antibody (Cat.-No.: AP06573PU-N) in paraffin-embedded human placenta tissue.