Antibody data
- Antibody Data
- Antigen structure
- References [1]
- Comments [0]
- Validations
- Western blot [1]
- Immunohistochemistry [1]
Submit
Validation data
Reference
Comment
Report error
- Product number
- sc-1651 - Provider product page

- Provider
- Santa Cruz Biotechnology
- Proper citation
- Santa Cruz Biotechnology Cat#sc-1651, RRID:AB_2244054
- Product name
- Anti-CBL
- Antibody type
- Monoclonal
- Antigen
- Synthetic peptide
- Reactivity
- Human
- Host
- Mouse
Submitted references A TNF- and c-Cbl-dependent FLIPS-degradation pathway and its function in Mycobacterium tuberculosis–induced macrophage apoptosis
Manikuntala Kundu, Sushil Kumar Pathak, Kuldeep Kumawat, Sanchita Basu, Gargi Chatterjee, Shresh Pathak, Takuya Noguchi, Kohsuke Takeda, Hidenori Ichijo, Christine B F Thien, Wallace Y Langdon, Joyoti Basu
Nature Immunology 2009 Jul;10(8):918-926
Nature Immunology 2009 Jul;10(8):918-926
No comments: Submit comment
Supportive validation
- Submitted by
- per
- Main image

- Experimental details
- Western blot analysis of antibody specificity using a routine panel composed of IgG/HSA-depleted human plasma and protein lysates from selected human tissues and cell lines.
- Validation comment
- No bands detected.
- Primary Ab dilution
- 1:500
- Secondary Ab dilution
- 1:7000
- Lane 1
- Marker [kDa]: 230, 110, 82, 49.3, 32.2, 25.5, 17.6
- Lane 2
- RT-4
- Lane 3
- U-251MG sp
- Lane 4
- A-431
- Lane 5
- Liver
- Lane 6
- Testis
- Theoretical target weight
- [kDa] 100
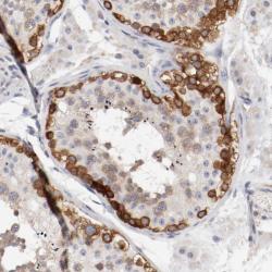
Supportive validation
- Submitted by
- per
- Main image

- Experimental details
- Immunohistochemical staining of human testis shows strong cytoplasmic positivity in basal cells.
- Validation comment
- Two independent antibodies targeting one protein yielding similar staining patterns. Staining pattern consistent with experimental and/or bioinformatic data.