Antibody data
- Antibody Data
- Antigen structure
- References [0]
- Comments [0]
- Validations
- Western blot [1]
- Immunohistochemistry [2]
Submit
Validation data
Reference
Comment
Report error
- Product number
- LS-C198744 - Provider product page

- Provider
- LSBio
- Product name
- c-CBL Antibody (phospho-Tyr700) LS-C198744
- Antibody type
- Polyclonal
- Description
- Immunoaffinity purified
- Reactivity
- Human, Mouse, Rat
- Host
- Rabbit
- Isotype
- IgG
- Storage
- Store at -20°C.
No comments: Submit comment
Enhanced validation
- Submitted by
- LSBio (provider)
- Enhanced method
- Genetic validation
- Main image

- Experimental details
- Western blot analysis of lysates from K562 cells treated with Na3VO4 0.3nM, using CBL (Phospho-Tyr700) Antibody. The lane on the right is blocked with the phospho peptide.
Supportive validation
- Submitted by
- LSBio (provider)
- Enhanced method
- Genetic validation
- Main image

- Experimental details
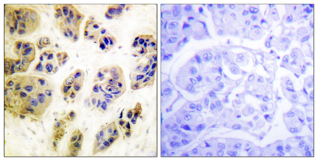
- Immunohistochemistry analysis of paraffin-embedded human breast carcinoma, using CBL (Phospho-Tyr700) Antibody. The picture on the right is blocked with the phospho peptide.
- Submitted by
- LSBio (provider)
- Enhanced method
- Genetic validation
- Main image

- Experimental details
- Immunohistochemistry analysis of paraffin-embedded human breast carcinoma, using CBL (Phospho-Tyr700) Antibody. The picture on the right is blocked with the phospho peptide.