Antibody data
- Antibody Data
- Antigen structure
- References [1]
- Comments [0]
- Validations
- Western blot [1]
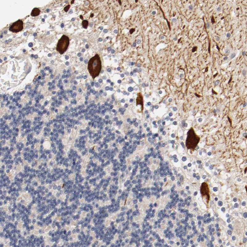
- Immunohistochemistry [1]
Submit
Validation data
Reference
Comment
Report error
- Product number
- sc-9983 - Provider product page

- Provider
- Santa Cruz Biotechnology
- Proper citation
- Santa Cruz Biotechnology Cat#sc-9983, RRID:AB_627789
- Product name
- Anti-IL1A
- Antibody type
- Monoclonal
- Antigen
- Recombinant full-length protein
- Reactivity
- Human
- Host
- Mouse
Submitted references Epithelial Cells Promote Fibroblast Activation via IL-1α in Systemic Sclerosis
Nima Aden, Anna Nuttall, Xu Shiwen, Patricia de Winter, Andrew Leask, Carol M Black, Christopher P Denton, David J Abraham, Richard J Stratton
Journal of Investigative Dermatology 2010 May;130(9):2191-2200
Journal of Investigative Dermatology 2010 May;130(9):2191-2200
No comments: Submit comment
Supportive validation
- Submitted by
- per
- Main image

- Experimental details
- Western blot analysis of antibody specificity using a routine panel composed of IgG/HSA-depleted human plasma and protein lysates from selected human tissues and cell lines.
- Validation comment
- No bands detected.
- Primary Ab dilution
- 1:500
- Secondary Ab dilution
- 1:7000
- Lane 1
- Marker [kDa]: 229, 112, 83.5, 47.9, 32.3, 26.5, 17.2
- Lane 2
- RT-4
- Lane 3
- U-251MG sp
- Lane 4
- Human Plasma
- Lane 5
- Liver
- Lane 6
- Tonsil
- Theoretical target weight
- [kDa] 31
Supportive validation
- Submitted by
- per
- Main image

- Experimental details
- Immunohistochemical staining of human cerebellum shows strong cytoplasmic positivity in purkinje cells.
- Validation comment
- Staining pattern consistent with experimental and/or bioinformatic data.