Antibody data
- Antibody Data
- Antigen structure
- References [0]
- Comments [0]
- Validations
- Immunohistochemistry [3]
Submit
Validation data
Reference
Comment
Report error
- Product number
- PP1022P2 - Provider product page

- Provider
- Acris Antibodies GmbH
- Proper citation
- Acris Antibodies GmbH Cat#PP1022P2, RRID:AB_1003866
- Product name
- anti Interleukin-1 alpha / IL-1A
- Antibody type
- Polyclonal
- Antigen
- Highly purified (>98%) recombinant Interleukin 1 alpha.
- Reactivity
- Human
- Host
- Rabbit
- Vial size
- 50 µg
No comments: Submit comment
Supportive validation
- Submitted by
- Acris Antibodies GmbH (provider)
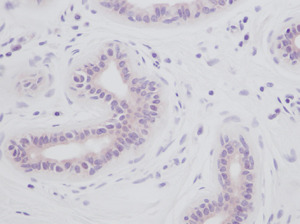
- Main image

- Submitted by
- Acris Antibodies GmbH (provider)
- Main image

- Submitted by
- Acris Antibodies GmbH (provider)
- Main image

- Experimental details
- Immunohistochemistry This Interleukin-1 alpha antibody stained formalin-fixed, paraffin-embedded sections of normal human skin. The recommended concentration is 1.0 µg/ml overnight at 4°C. An HRP-labeled polymer detection system was used with a non-alcohol soluble AEC chromogen. Enzyme induced antigen retrieval was performed with proteinase K.