Antibody data
- Antibody Data
- Antigen structure
- References [0]
- Comments [0]
- Validations
- Western blot [1]
- Immunohistochemistry [1]
Submit
Validation data
Reference
Comment
Report error
- Product number
- AP52727PU-N - Provider product page

- Provider
- Acris Antibodies GmbH
- Proper citation
- Acris Antibodies GmbH Cat#AP52727PU-N, RRID:AB_11144627
- Product name
- anti MORC4 (Center)
- Antibody type
- Polyclonal
- Antigen
- KLH conjugated synthetic peptide between 463-493 amino acids from the Central region of Human MORC4
- Reactivity
- Human
- Host
- Rabbit
- Vial size
- 0.1 mg
- Concentration
- 0.25 mg/ml
No comments: Submit comment
Supportive validation
- Submitted by
- Acris Antibodies GmbH (provider)
- Main image

- Experimental details
- Western blot analysis of MORC4 Antibody (Center) Cat.-No AP52727PU-N in NCI-H292 cell line lysates (35ug/lane). This demonstrates the MORC4 antibody detected the MORC4 protein (arrow).
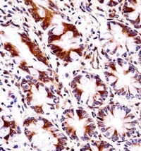
Supportive validation
- Submitted by
- Acris Antibodies GmbH (provider)
- Main image

- Experimental details
- Immunohistochemistry analysis in formalin fixed and paraffin embedded human rectum tissue reacted with MORC4 Antibody (Center) Cat.-No AP52727PU-N followed by peroxidase conjugation of the secondary antibody and DAB staining.