Antibody data
- Antibody Data
- Antigen structure
- References [5]
- Comments [0]
- Validations
- Western blot [1]
- Immunohistochemistry [1]
Submit
Validation data
Reference
Comment
Report error
- Product number
- NB100-40842 - Provider product page

- Provider
- Novus Biologicals
- Proper citation
- Novus Cat#NB100-40842, RRID:AB_792364
- Product name
- Rabbit Polyclonal TOP2B Antibody
- Antibody type
- Polyclonal
- Description
- Immunogen affinity purified.
- Reactivity
- Human, Mouse
- Host
- Rabbit
- Isotype
- IgG
- Vial size
- 0.1 ml
- Concentration
- 0.2 mg/ml
- Storage
- Store at 4C. Do not freeze.
Submitted references Suppressing proteasome mediated processing of topoisomerase II DNA-protein complexes preserves genome integrity.
Endogenous topoisomerase II-mediated DNA breaks drive thymic cancer predisposition linked to ATM deficiency.
Androgen Deprivation Followed by Acute Androgen Stimulation Selectively Sensitizes AR-Positive Prostate Cancer Cells to Ionizing Radiation.
Chromatin context and ncRNA highlight targets of MeCP2 in brain.
Mitoxantrone in combination with an inhibitor of DNA-dependent protein kinase: a potential therapy for high risk B-cell chronic lymphocytic leukaemia.
Sciascia N, Wu W, Zong D, Sun Y, Wong N, John S, Wangsa D, Ried T, Bunting SF, Pommier Y, Nussenzweig A
eLife 2020 Feb 14;9
eLife 2020 Feb 14;9
Endogenous topoisomerase II-mediated DNA breaks drive thymic cancer predisposition linked to ATM deficiency.
Álvarez-Quilón A, Terrón-Bautista J, Delgado-Sainz I, Serrano-Benítez A, Romero-Granados R, Martínez-García PM, Jimeno-González S, Bernal-Lozano C, Quintero C, García-Quintanilla L, Cortés-Ledesma F
Nature communications 2020 Feb 14;11(1):910
Nature communications 2020 Feb 14;11(1):910
Androgen Deprivation Followed by Acute Androgen Stimulation Selectively Sensitizes AR-Positive Prostate Cancer Cells to Ionizing Radiation.
Hedayati M, Haffner MC, Coulter JB, Raval RR, Zhang Y, Zhou H, Mian O, Knight EJ, Razavi N, Dalrymple S, Isaacs JT, Santos A, Hales R, Nelson WG, Yegnasubramanian S, DeWeese TL
Clinical cancer research : an official journal of the American Association for Cancer Research 2016 Jul 1;22(13):3310-3319
Clinical cancer research : an official journal of the American Association for Cancer Research 2016 Jul 1;22(13):3310-3319
Chromatin context and ncRNA highlight targets of MeCP2 in brain.
Maxwell SS, Pelka GJ, Tam PP, El-Osta A
RNA biology 2013 Nov;10(11):1741-57
RNA biology 2013 Nov;10(11):1741-57
Mitoxantrone in combination with an inhibitor of DNA-dependent protein kinase: a potential therapy for high risk B-cell chronic lymphocytic leukaemia.
Elliott SL, Crawford C, Mulligan E, Summerfield G, Newton P, Wallis J, Mainou-Fowler T, Evans P, Bedwell C, Durkacz BW, Willmore E
British journal of haematology 2011 Jan;152(1):61-71
British journal of haematology 2011 Jan;152(1):61-71
No comments: Submit comment
Supportive validation
- Submitted by
- Novus Biologicals (provider)
- Main image

- Experimental details
- Western Blot: TOP2B Antibody [NB100-40842] - Detection of Human Topo II Beta on HeLa whole cell lysate using NB100-40842. Topo II Beta was also immunoprecipitated by another rabbit anti-Topo II Beta antibody and NB100-40841.
Supportive validation
- Submitted by
- Novus Biologicals (provider)
- Main image

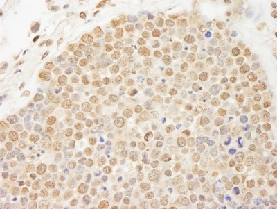
- Experimental details
- Immunohistochemistry-Paraffin: TOP2B Antibody [NB100-40842] - Section of human small cell lung cancer. Antibody: Affinity purified rabbit anti- Topo II Beta used at a dilution of 1:200 (1ug/ml). Detection: DAB