Antibody data
- Antibody Data
- Antigen structure
- References [0]
- Comments [0]
- Validations
- Immunocytochemistry [2]
- Immunoprecipitation [1]
- Immunohistochemistry [4]
- Other assay [1]
Submit
Validation data
Reference
Comment
Report error
- Product number
- PA5-27750 - Provider product page

- Provider
- Invitrogen Antibodies
- Product name
- TOP2B Polyclonal Antibody
- Antibody type
- Polyclonal
- Antigen
- Recombinant full-length protein
- Description
- Recommended positive controls: Jurkat, K562, THP-1. Predicted reactivity: Mouse (89%), Rat (86%), Pig (88%), Rhesus Monkey (97%). Store product as a concentrated solution. Centrifuge briefly prior to opening the vial.
- Reactivity
- Human, Mouse, Rat
- Host
- Rabbit
- Isotype
- IgG
- Vial size
- 100 μL
- Concentration
- 0.48 mg/mL
- Storage
- Store at 4°C short term. For long term storage, store at -20°C, avoiding freeze/thaw cycles.
No comments: Submit comment
Supportive validation
- Submitted by
- Invitrogen Antibodies (provider)
- Main image

- Experimental details
- Immunocytochemistry-Immunofluorescence analysis of TOP2B was performed in HeLa cells fixed in 4% paraformaldehyde at RT for 15 min. Green: TOP2B Polyclonal Antibody (Product # PA5-27750) diluted at 1:500. Red: phalloidin, a cytoskeleton marker. Scale bar = 10 µm.
- Submitted by
- Invitrogen Antibodies (provider)
- Main image

- Experimental details
- Immunocytochemistry-Immunofluorescence analysis of TOP2B was performed in HeLa cells fixed in 4% paraformaldehyde at RT for 15 min. Green: TOP2B Polyclonal Antibody (Product # PA5-27750) diluted at 1:500. Red: phalloidin, a cytoskeleton marker. Scale bar = 10 µm.
Supportive validation
- Submitted by
- Invitrogen Antibodies (provider)
- Main image

- Experimental details
- Topoisomerase II beta antibody immunoprecipitates Topoisomerase II beta protein in IP experiments. IP Sample: HeLa whole cell lysate/extract A. 40 µg HeLa whole cell lysate/extract B. Control with 2 µg of preimmune rabbit IgG C. Immunoprecipitation of Topoisomerase II beta protein by 2 µg of Topoisomerase II beta antibody (Product # PA5-27750) 5% SDS-PAGE The immunoprecipitated Topoisomerase II beta protein was detected by Topoisomerase II beta antibody (Product # PA5-27750) diluted at 1:1,000.
Supportive validation
- Submitted by
- Invitrogen Antibodies (provider)
- Main image

- Experimental details
- Immunohistochemical analysis of paraffin-embedded human ovarian cancer, using Topoisomerase II beta (Product # PA5-27750) antibody at 1:250 dilution. Antigen Retrieval: EDTA based buffer, pH 8.0, 15 min.
- Submitted by
- Invitrogen Antibodies (provider)
- Main image

- Experimental details
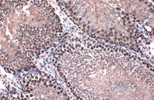
- TOP2B Polyclonal Antibody detects Topoisomerase II beta protein at nucleus by immunohistochemical analysis. Sample: Paraffin-embedded mouse testis. Topoisomerase II beta stained by TOP2B Polyclonal Antibody (Product # PA5-27750) diluted at 1:500. Antigen Retrieval: Citrate buffer, pH 6.0, 15 min.
- Submitted by
- Invitrogen Antibodies (provider)
- Main image

- Experimental details
- TOP2B Polyclonal Antibody detects Topoisomerase II beta protein at nucleus by immunohistochemical analysis. Sample: Paraffin-embedded rat testis. Topoisomerase II beta stained by TOP2B Polyclonal Antibody (Product # PA5-27750) diluted at 1:500. Antigen Retrieval: Citrate buffer, pH 6.0, 15 min.
- Submitted by
- Invitrogen Antibodies (provider)
- Main image

- Experimental details
- TOP2B Polyclonal Antibody detects Topoisomerase II beta protein at nucleus by immunohistochemical analysis. Sample: Paraffin-embedded mouse brain. Topoisomerase II beta stained by TOP2B Polyclonal Antibody (Product # PA5-27750) diluted at 1:500. Antigen Retrieval: Citrate buffer, pH 6.0, 15 min.
Supportive validation
- Submitted by
- Invitrogen Antibodies (provider)
- Main image

- Experimental details
- Topoisomerase II beta antibody immunoprecipitates Topoisomerase II beta protein in IP experiments. IP Sample: HeLa whole cell lysate/extract A. 40 µg HeLa whole cell lysate/extract B. Control with 2 µg of preimmune rabbit IgG C. Immunoprecipitation of Topoisomerase II beta protein by 2 µg of Topoisomerase II beta antibody (Product # PA5-27750) 5% SDS-PAGE The immunoprecipitated Topoisomerase II beta protein was detected by Topoisomerase II beta antibody (Product # PA5-27750) diluted at 1:1,000.