Antibody data
- Antibody Data
- Antigen structure
- References [0]
- Comments [0]
- Validations
- Western blot [4]
- Immunohistochemistry [1]
Submit
Validation data
Reference
Comment
Report error
- Product number
- NBP1-33506 - Provider product page

- Provider
- Novus Biologicals
- Proper citation
- Novus Cat#NBP1-33506, RRID:AB_2215876
- Product name
- Rabbit Polyclonal Wee1 Antibody
- Antibody type
- Polyclonal
- Description
- Immunogen affinity purified.
- Reactivity
- Human, Mouse
- Host
- Rabbit
- Isotype
- IgG
- Vial size
- 100 ul
- Storage
- Aliquot and store at -20C or -80C. Avoid freeze-thaw cycles.
No comments: Submit comment
Supportive validation
- Submitted by
- Novus Biologicals (provider)
- Main image

- Experimental details
- Western Blot: Wee1 Antibody [NBP1-33506] - Various whole cell extracts (30 ug) were separated by 7.5% SDS-PAGE, and the membrane was blotted with WEE1 antibody [N3C2], Internal diluted at 1:500. The HRP-conjugated anti-rabbit IgG antibody (NBP2-19301) was used to detect the primary antibody.
- Submitted by
- Novus Biologicals (provider)
- Main image

- Experimental details
- Western Blot: Wee1 Antibody [NBP1-33506] - Various whole cell extracts (30 ug) were separated by 7.5% SDS-PAGE, and the membranes were blotted with WEE1 antibody [N3C2], Internal diluted at 1:1000. The HRP-conjugated anti-rabbit IgG antibody (NBP2-19301) was used to detect the primary antibody.
- Submitted by
- Novus Biologicals (provider)
- Main image

- Experimental details
- Western Blot: Wee1 Antibody [NBP1-33506] - Various whole cell extracts (30 ug) were separated by 7.5% SDS-PAGE, and the membranes were blotted with WEE1 antibody [N3C2], Internal diluted at 1:1000 and competitor's antibody diluted at 1:1000. The HRP-conjugated anti-rabbit IgG antibody was used to detect the primary antibody.
- Submitted by
- Novus Biologicals (provider)
- Main image

- Experimental details
- Western Blot: Wee1 Antibody [NBP1-33506] - Various whole cell extracts (30 ug) were separated by 7.5% SDS-PAGE, and the membrane was blotted with WEE1 antibody [N3C2], diluted at 1:1000. The HRP-conjugated anti-rabbit IgG antibody was used to detect the primary antibody.
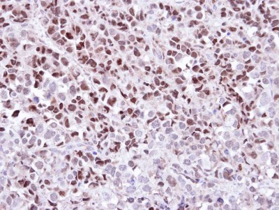
Supportive validation
- Submitted by
- Novus Biologicals (provider)
- Main image

- Experimental details
- Immunohistochemistry-Paraffin: Wee1 Antibody [NBP1-33506] - Paraffin-embedded CL1-0 Xenograft, using antibody at 1:100 dilution.