Antibody data
- Antibody Data
- Antigen structure
- References [13]
- Comments [0]
- Validations
- Western blot [1]
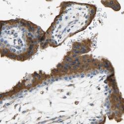
- Immunohistochemistry [1]
Submit
Validation data
Reference
Comment
Report error
- Product number
- sc-1050 - Provider product page

- Provider
- Santa Cruz Biotechnology
- Proper citation
- Santa Cruz Biotechnology Cat#sc-1050, RRID:AB_631616
- Product name
- Anti-HSPA5
- Antibody type
- Polyclonal (Antigen purified)
- Antigen
- Synthetic peptide
- Reactivity
- Human
- Host
- Goat
Submitted references Gangliosides are important for the preservation of the structure and organization of RBL-2H3 mast cells.
A point mutation in Sec61alpha1 leads to diabetes and hepatosteatosis in mice.
Advanced osteoarthritis in humans is associated with altered collagen VI expression and upregulation of ER-stress markers Grp78 and bag-1.
Patterns of GRP78 and MTJ1 expression in primary cutaneous malignant melanoma
Activation and clinical significance of the unfolded protein response in breast cancer.
Intraluminal blockade of cell-surface CD74 and glucose regulated protein 78 prevents substance P-induced bladder inflammatory changes in the rat.
Cooperative control via lymphoid enhancer factor 1/T cell factor 3 and estrogen receptor-alpha for uterine gene regulation by estrogen.
Human cytomegalovirus specifically controls the levels of the endoplasmic reticulum chaperone BiP/GRP78, which is required for virion assembly.
GRP78 and Cripto form a complex at the cell surface and collaborate to inhibit transforming growth factor beta signaling and enhance cell growth.
LC-MS/MS analysis of differential centrifugation fractions from native inner medullary collecting duct of rat.
Herpes simplex virus type 1 ICP27-dependent activation of NF-kappaB.
Combined proteomics and pathways analysis of collecting duct reveals a protein regulatory network activated in vasopressin escape.
Homocysteine-induced endoplasmic reticulum stress causes dysregulation of the cholesterol and triglyceride biosynthetic pathways.
Silveira e Souza AM, Trindade ES, Jamur MC, Oliver C
The journal of histochemistry and cytochemistry : official journal of the Histochemistry Society 2010 Jan;58(1):83-93
The journal of histochemistry and cytochemistry : official journal of the Histochemistry Society 2010 Jan;58(1):83-93
A point mutation in Sec61alpha1 leads to diabetes and hepatosteatosis in mice.
Lloyd DJ, Wheeler MC, Gekakis N
Diabetes 2010 Feb;59(2):460-70
Diabetes 2010 Feb;59(2):460-70
Advanced osteoarthritis in humans is associated with altered collagen VI expression and upregulation of ER-stress markers Grp78 and bag-1.
Nugent AE, Speicher DM, Gradisar I, McBurney DL, Baraga A, Doane KJ, Horton WE Jr
The journal of histochemistry and cytochemistry : official journal of the Histochemistry Society 2009 Oct;57(10):923-31
The journal of histochemistry and cytochemistry : official journal of the Histochemistry Society 2009 Oct;57(10):923-31
Patterns of GRP78 and MTJ1 expression in primary cutaneous malignant melanoma
John A Papalas, Robin T Vollmer, Mario Gonzalez-Gronow, Salvatore V Pizzo, James Burchette, Kenneth E Youens, Krystal B Johnson, Maria A Selim
Modern Pathology 2009 Oct;23(1):134-143
Modern Pathology 2009 Oct;23(1):134-143
Activation and clinical significance of the unfolded protein response in breast cancer.
Scriven P, Coulson S, Haines R, Balasubramanian S, Cross S, Wyld L
British journal of cancer 2009 Nov 17;101(10):1692-8
British journal of cancer 2009 Nov 17;101(10):1692-8
Intraluminal blockade of cell-surface CD74 and glucose regulated protein 78 prevents substance P-induced bladder inflammatory changes in the rat.
Vera PL, Wang X, Bucala RJ, Meyer-Siegler KL
PloS one 2009 Jun 8;4(6):e5835
PloS one 2009 Jun 8;4(6):e5835
Cooperative control via lymphoid enhancer factor 1/T cell factor 3 and estrogen receptor-alpha for uterine gene regulation by estrogen.
Ray S, Xu F, Wang H, Das SK
Molecular endocrinology (Baltimore, Md.) 2008 May;22(5):1125-40
Molecular endocrinology (Baltimore, Md.) 2008 May;22(5):1125-40
Human cytomegalovirus specifically controls the levels of the endoplasmic reticulum chaperone BiP/GRP78, which is required for virion assembly.
Buchkovich NJ, Maguire TG, Yu Y, Paton AW, Paton JC, Alwine JC
Journal of virology 2008 Jan;82(1):31-9
Journal of virology 2008 Jan;82(1):31-9
GRP78 and Cripto form a complex at the cell surface and collaborate to inhibit transforming growth factor beta signaling and enhance cell growth.
Shani G, Fischer WH, Justice NJ, Kelber JA, Vale W, Gray PC
Molecular and cellular biology 2008 Jan;28(2):666-77
Molecular and cellular biology 2008 Jan;28(2):666-77
LC-MS/MS analysis of differential centrifugation fractions from native inner medullary collecting duct of rat.
Sachs AN, Pisitkun T, Hoffert JD, Yu MJ, Knepper MA
American journal of physiology. Renal physiology 2008 Dec;295(6):F1799-806
American journal of physiology. Renal physiology 2008 Dec;295(6):F1799-806
Herpes simplex virus type 1 ICP27-dependent activation of NF-kappaB.
Hargett D, Rice S, Bachenheimer SL
Journal of virology 2006 Nov;80(21):10565-78
Journal of virology 2006 Nov;80(21):10565-78
Combined proteomics and pathways analysis of collecting duct reveals a protein regulatory network activated in vasopressin escape.
Hoorn EJ, Hoffert JD, Knepper MA
Journal of the American Society of Nephrology : JASN 2005 Oct;16(10):2852-63
Journal of the American Society of Nephrology : JASN 2005 Oct;16(10):2852-63
Homocysteine-induced endoplasmic reticulum stress causes dysregulation of the cholesterol and triglyceride biosynthetic pathways.
Werstuck GH, Lentz SR, Dayal S, Hossain GS, Sood SK, Shi YY, Zhou J, Maeda N, Krisans SK, Malinow MR, Austin RC
The Journal of clinical investigation 2001 May;107(10):1263-73
The Journal of clinical investigation 2001 May;107(10):1263-73
No comments: Submit comment
Supportive validation
- Submitted by
- per
- Main image

- Experimental details
- Western blot analysis of antibody specificity using a routine panel composed of IgG/HSA-depleted human plasma and protein lysates from selected human tissues and cell lines.
- Validation comment
- Single band corresponding to the predicted size in kDa (+/-20%).
- Primary Ab dilution
- 1:500
- Secondary Ab dilution
- 1:2000
- Lane 1
- Marker [kDa]: 229, 112, 83.5, 47.9, 32.3, 26.5, 17.2
- Lane 2
- RT-4
- Lane 3
- U-251MG sp
- Lane 4
- Human Plasma
- Lane 5
- Liver
- Lane 6
- Tonsil
- Theoretical target weight
- [kDa] 72
Supportive validation
- Submitted by
- per
- Main image

- Experimental details
- Immunohistochemical staining of human placenta shows strong cytoplasmic positivity in trophoblastic cells.
- Validation comment
- Staining pattern consistent with experimental and/or bioinformatic data.