Antibody data
- Antibody Data
- Antigen structure
- References [0]
- Comments [0]
- Validations
- Western blot [1]
- Immunocytochemistry [2]
- Immunohistochemistry [2]
Submit
Validation data
Reference
Comment
Report error
- Product number
- LS-C393524 - Provider product page

- Provider
- LSBio
- Product name
- HSPA5 / GRP78 / BiP Antibody LS-C393524
- Antibody type
- Monoclonal
- Description
- Purified
- Reactivity
- Human
- Host
- Mouse
- Storage
- Maintain refrigerated at 2°C to 8°C for up to 6 months. For long term storage store at -20°C.
No comments: Submit comment
Enhanced validation
- Submitted by
- LSBio (provider)
- Enhanced method
- Genetic validation
- Main image

- Experimental details
- Western blot detection of BiP/GRP78 (C-terminus) in HeLa, C6, Lncap and MDA-MB-468 cell lysates using BiP/GRP78 (C-terminus) mouse monoclonal antibody (1:1000 dilution). Predicted band size: 72KDa. Observed band size:78KDa.
Supportive validation
- Submitted by
- LSBio (provider)
- Enhanced method
- Genetic validation
- Main image

- Experimental details
- Immunocytochemistry staining of HeLa cells fixed with 4% Paraformaldehyde and using anti-BiP/GRP78 (C-terminus) mouse monoclonal antibody (dilution 1:50).
- Submitted by
- LSBio (provider)
- Main image

- Experimental details
- Immunocytochemistry staining of HeLa cells fixed with 4% Paraformaldehyde and using anti-BiP/GRP78 (C-terminus) mouse monoclonal antibody (dilution 1:50).
Supportive validation
- Submitted by
- LSBio (provider)
- Enhanced method
- Genetic validation
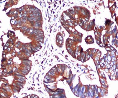
- Main image

- Experimental details
- Immunohistochemical analysis of paraffin-embedded Colorectal cancer using BiP/GRP78 (C-terminus) mouse monoclonal antibody (1:100 dilution).Antigen retrieval was performed by pressure cooking in citrate buffer (pH 6.0).
- Submitted by
- LSBio (provider)
- Enhanced method
- Genetic validation
- Main image

- Experimental details
- Immunohistochemical analysis of paraffin-embedded Colorectal cancer using BiP/GRP78 (C-terminus) mouse monoclonal antibody (1:100 dilution).Antigen retrieval was performed by pressure cooking in citrate buffer (pH 6.0).