Antibody data
- Antibody Data
- Antigen structure
- References [0]
- Comments [0]
- Validations
- Western blot [1]
- ELISA [1]
- Immunocytochemistry [1]
- Immunohistochemistry [2]
- Flow cytometry [1]
Submit
Validation data
Reference
Comment
Report error
- Product number
- GTX60640 - Provider product page

- Provider
- GeneTex
- Product name
- SHP2 antibody [6D9]
- Antibody type
- Monoclonal
- Reactivity
- Human
- Host
- Mouse
No comments: Submit comment
Supportive validation
- Submitted by
- GeneTex (provider)
- Main image

- Experimental details
- WB analysis of human PTPN11 recombinant protein using PTPN11 antibody [6D9].
Supportive validation
- Submitted by
- GeneTex (provider)
- Main image

- Experimental details
- ELISA analysis of control antigen and antigen using PTPN11 antibody [6D9].
Supportive validation
- Submitted by
- GeneTex (provider)
- Main image

- Experimental details
- ICC/IF analysis of HeLa cells using PTPN11 antibody [6D9] (green) and DRAQ5 fluorescent DNA dye (blue).
Supportive validation
- Submitted by
- GeneTex (provider)
- Main image

- Experimental details
- IHC-P analysis of breast cancer tissues using PTPN11 antibody [6D9].
- Submitted by
- GeneTex (provider)
- Main image

- Experimental details
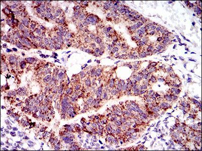
- IHC-P analysis of rectum cancer tissues using PTPN11 antibody [6D9].
Supportive validation
- Submitted by
- GeneTex (provider)
- Main image

- Experimental details
- FACS analysis of HepG2 cells using PTPN11 antibody [6D9] (green) or a negative control (red).