Antibody data
- Antibody Data
- Antigen structure
- References [1]
- Comments [0]
- Validations
- Western blot [1]
- Immunohistochemistry [1]
Submit
Validation data
Reference
Comment
Report error
- Product number
- sc-7153 - Provider product page 
- Provider
- Santa Cruz Biotechnology
- Proper citation
- Santa Cruz Biotechnology Cat#sc-7153, RRID:AB_656608
- Product name
- Anti-SMAD1
- Antibody type
- Polyclonal
- Antigen
- Recombinant full-length protein
- Reactivity
- Human
- Host
- Rabbit
Submitted references		Distinct mammalian SWI/SNF chromatin remodeling complexes with opposing roles in cell-cycle control.
				
		
	
			Nagl NG Jr, Wang X, Patsialou A, Van Scoy M, Moran E
The EMBO journal 2007 Feb 7;26(3):752-63
		The EMBO journal 2007 Feb 7;26(3):752-63
				No comments: Submit comment	
	
			
							
					Supportive validation
					
									
				
				- Submitted by
- per
- Main image
 
- Experimental details
- Western blot analysis of antibody specificity using a routine panel composed of IgG/HSA-depleted human plasma and protein lysates from selected human tissues and cell lines.
- Validation comment
- Band of predicted size in kDa (+/-20%) with additional bands present.
- Primary Ab dilution
- 1:500
- Secondary Ab dilution
- 1:3000
- Lane 1
- Marker [kDa]: 220, 112, 84, 47, 32, 26, 16.8
- Lane 2
- RT-4
- Lane 3
- U-251MG sp
- Lane 4
- Human Plasma
- Lane 5
- Liver
- Lane 6
- Tonsil
- Theoretical target weight
- [kDa] 52
							
					Supportive validation
					
									
				
		- Submitted by
- per
- Main image
 
- Experimental details
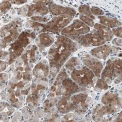
- Immunohistochemical staining of human stomach shows moderate cytoplasmic positivity in glandular cells.
- Validation comment
- Staining pattern partly consistent with experimental and/or bioinformatic data.