Antibody data
- Antibody Data
- Antigen structure
- References [0]
- Comments [0]
- Validations
- Western blot [1]
- Immunocytochemistry [1]
- Immunohistochemistry [2]
Submit
Validation data
Reference
Comment
Report error
- Product number
- TA326928 - Provider product page 
- Provider
- OriGene
- Product name
- SMAD1 Rabbit Polyclonal Antibody
- Antibody type
- Polyclonal
- Description
- SMAD1 Rabbit Polyclonal Antibody
- Host
- Rabbit
- Conjugate
- Unconjugated
- Epitope
- SMAD1
- Isotype
- IgG
- Antibody clone number
- NULL
- Vial size
- 100 µg
- Concentration
- 1mg/ml
				No comments: Submit comment	
	
			
							
					Supportive validation
					
									
				
				- Submitted by
- OriGene (provider)
- Main image
 
- Experimental details
- Western blot analysis of extracts of various cell lines, using SMAD1 antibody.
- Validation comment
- WB
							
					Supportive validation
					
									
				
				- Submitted by
- OriGene (provider)
- Main image
 
- Experimental details
- Immunofluorescence analysis of HeLa cell using SMAD1 antibody. Blue: DAPI for nuclear staining.
- Validation comment
- IF
							
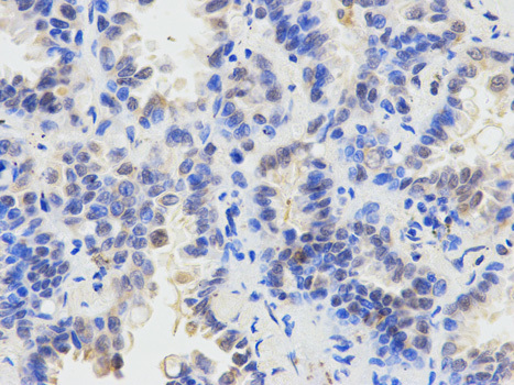
					Supportive validation
					
									
				
		- Submitted by
- OriGene (provider)
- Main image
 
- Experimental details
- Immunohistochemistry of paraffin-embedded human lung cancer using SMAD1 antibody at dilution of 1:200 (400x lens).
- Validation comment
- IHC
- Submitted by
- OriGene (provider)
- Main image
 
- Experimental details
- Immunohistochemistry of paraffin-embedded human rectal cancer using SMAD1 antibody at dilution of 1:200 (400x lens).
- Validation comment
- IHC