Antibody data
- Antibody Data
- Antigen structure
- References [5]
- Comments [0]
- Validations
- Western blot [2]
- Immunohistochemistry [1]
Submit
Validation data
Reference
Comment
Report error
- Product number
- NB100-56183 - Provider product page

- Provider
- Novus Biologicals
- Proper citation
- Novus Cat#NB100-56183, RRID:AB_839116
- Product name
- Rabbit Polyclonal XIAP Antibody
- Antibody type
- Polyclonal
- Description
- Unpurified. The antibody recognizes epitopes in the BIR2 domain of XIAP. Therefore it can recognize full-length XIAP and XIAP cleavage fragments containing the BIR2 domain. However, XIAP cleavage fragments may be biologically unstable, and therefore cleavage fragments may be difficult to detect.
- Reactivity
- Human, Mouse, Rat
- Host
- Rabbit
- Isotype
- IgG
- Vial size
- 0.05 ml
- Storage
- Store at -20C. Avoid freeze-thaw cycles.
Submitted references Novel Targeting of Transcription and Metabolism in Glioblastoma.
Kaempferol mitigates Endoplasmic Reticulum Stress Induced Cell Death by targeting caspase 3/7.
Low-level light emitting diode (LED) therapy suppresses inflammasome-mediated brain damage in experimental ischemic stroke.
Inactivation of BRCA2 in human cancer cells identifies a subset of tumors with enhanced sensitivity towards death receptor-mediated apoptosis.
A novel role for BDNF-TrkB in the regulation of chemotherapy resistance in head and neck squamous cell carcinoma.
Su YT, Chen R, Wang H, Song H, Zhang Q, Chen LY, Lappin H, Vasconcelos G, Lita A, Maric D, Li A, Celiku O, Zhang W, Meetze K, Estok T, Larion M, Abu-Asab M, Zhuang Z, Yang C, Gilbert MR, Wu J
Clinical cancer research : an official journal of the American Association for Cancer Research 2018 Mar 1;24(5):1124-1137
Clinical cancer research : an official journal of the American Association for Cancer Research 2018 Mar 1;24(5):1124-1137
Kaempferol mitigates Endoplasmic Reticulum Stress Induced Cell Death by targeting caspase 3/7.
Abdullah A, Ravanan P
Scientific reports 2018 Feb 1;8(1):2189
Scientific reports 2018 Feb 1;8(1):2189
Low-level light emitting diode (LED) therapy suppresses inflammasome-mediated brain damage in experimental ischemic stroke.
Lee HI, Lee SW, Kim NG, Park KJ, Choi BT, Shin YI, Shin HK
Journal of biophotonics 2017 Nov;10(11):1502-1513
Journal of biophotonics 2017 Nov;10(11):1502-1513
Inactivation of BRCA2 in human cancer cells identifies a subset of tumors with enhanced sensitivity towards death receptor-mediated apoptosis.
De Toni EN, Ziesch A, Rizzani A, Török HP, Hocke S, Lü S, Wang SC, Hucl T, Göke B, Bruns C, Gallmeier E
Oncotarget 2016 Feb 23;7(8):9477-90
Oncotarget 2016 Feb 23;7(8):9477-90
A novel role for BDNF-TrkB in the regulation of chemotherapy resistance in head and neck squamous cell carcinoma.
Lee J, Jiffar T, Kupferman ME
PloS one 2012;7(1):e30246
PloS one 2012;7(1):e30246
No comments: Submit comment
Supportive validation
- Submitted by
- Novus Biologicals (provider)
- Main image

- Experimental details
- Western Blot: XIAP Antibody - Unpurified [NB100-56183] - XIAP Antibody [NB100-56183] - Analysis of recombinant full-length IAP proteins using this antibody to XIAP at 1:2000. The data shows that the antibody recognizes only XIAP and not the other IAP proteins.
- Submitted by
- Novus Biologicals (provider)
- Main image

- Experimental details
- Western Blot: XIAP Antibody - Unpurified [NB100-56183] - Analysis of XIAP in various tumor cell lines using this antibody at 1:2000.
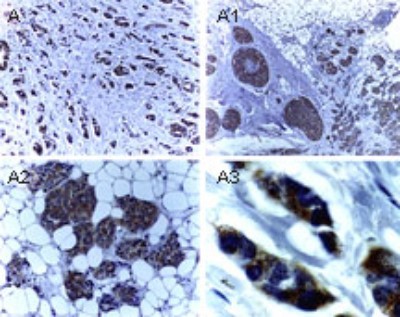
Supportive validation
- Submitted by
- Novus Biologicals (provider)
- Main image

- Experimental details
- Immunohistochemistry-Paraffin: XIAP Antibody - Unpurified [NB100-56183] - Human breast carcinoma using this antibody at 1:2000. A-A3, successively higher magnifications of the breast carcinoma tissue section. Hematoxylin-eosin counterstain.