Antibody data
- Antibody Data
- Antigen structure
- References [3]
- Comments [0]
- Validations
- Western blot [1]
- Immunohistochemistry [1]
Submit
Validation data
Reference
Comment
Report error
- Product number
- sc-20703 - Provider product page

- Provider
- Santa Cruz Biotechnology
- Proper citation
- Santa Cruz Biotechnology Cat#sc-20703, RRID:AB_2093990
- Product name
- Anti-DNMT3A
- Antibody type
- Polyclonal
- Antigen
- Recombinant full-length protein
- Reactivity
- Human
- Host
- Rabbit
Submitted references Mature microRNAs identified in highly purified nuclei from HCT116 colon cancer cells.
Dynamic instability of genomic methylation patterns in pluripotent stem cells.
Site-specific DNA methylation by a complex of PU.1 and Dnmt3a/b
Park CW, Zeng Y, Zhang X, Subramanian S, Steer CJ
RNA biology 2010 Sep-Oct;7(5):606-14
RNA biology 2010 Sep-Oct;7(5):606-14
Dynamic instability of genomic methylation patterns in pluripotent stem cells.
Ooi SK, Wolf D, Hartung O, Agarwal S, Daley GQ, Goff SP, Bestor TH
Epigenetics & chromatin 2010 Sep 24;3(1):17
Epigenetics & chromatin 2010 Sep 24;3(1):17
Site-specific DNA methylation by a complex of PU.1 and Dnmt3a/b
M Suzuki, T Yamada, F Kihara-Negishi, T Sakurai, E Hara, D G Tenen, N Hozumi, T Oikawa
Oncogene 2005 Dec;25(17):2477-2488
Oncogene 2005 Dec;25(17):2477-2488
No comments: Submit comment
Supportive validation
- Submitted by
- per
- Main image

- Experimental details
- Western blot analysis of antibody specificity using a routine panel composed of IgG/HSA-depleted human plasma and protein lysates from selected human tissues and cell lines.
- Validation comment
- Band of predicted size in kDa (+/-20%) with additional bands present.
- Primary Ab dilution
- 1:500
- Secondary Ab dilution
- 1:3000
- Lane 1
- Marker [kDa]: 219, 111, 83, 48, 32, 26, 17
- Lane 2
- RT-4
- Lane 3
- U-251MG sp
- Lane 4
- Human Plasma
- Lane 5
- Liver
- Lane 6
- Tonsil
- Theoretical target weight
- [kDa] 102
Supportive validation
- Submitted by
- per
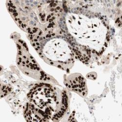
- Main image

- Experimental details
- Immunohistochemical staining of human placenta shows strong nuclear positivity in trophoblastic cells.
- Validation comment
- Staining pattern consistent with experimental and/or bioinformatic data.