Antibody data
- Antibody Data
- Antigen structure
- References [1]
- Comments [0]
- Validations
- Western blot [1]
- Immunohistochemistry [1]
Submit
Validation data
Reference
Comment
Report error
- Product number
- bs-0497R - Provider product page

- Provider
- Bioss
- Proper citation
- Bioss Cat#bs-0497R, RRID:AB_10853835
- Product name
- Dnmt3a Polyclonal Antibody
- Antibody type
- Polyclonal
- Description
- KLH conjugated synthetic peptide derived from human Dnmt3a
- Reactivity
- Human, Mouse, Rat
- Host
- Rabbit
- Conjugate
- Unconjugated
- Isotype
- IgG
- Vial size
- 100ul
- Concentration
- 1ug/ul
- Storage
- Aqueous buffered solution containing 1% BSA, 50% glycerol and 0.09% sodium azide. Store at -20°C for 12 months.
Submitted references P311 promotes renal fibrosis via TGFβ1/Smad signaling.
Yao Z, Yang S, He W, Li L, Xu R, Zhang X, Li H, Zhan R, Sun W, Tan J, Zhou J, Luo G, Wu J
Scientific reports 2015 Nov 30;5:17032
Scientific reports 2015 Nov 30;5:17032
No comments: Submit comment
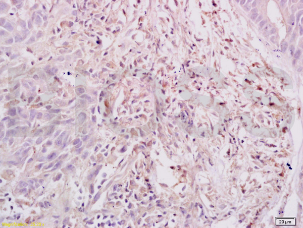
Supportive validation
- Submitted by
- Bioss (provider)
- Main image

- Experimental details
- Formalin-fixed and paraffin embedded human breast carcinoma labeled with Anti-Dnmt3a Polyclonal Antibody, Unconjugated (bs-0497R) at 1:200, followed by conjugation to the secondary antibody and DAB staining
- Sample type
- Human
- Other comments
- Breast
Supportive validation
- Submitted by
- Bioss (provider)
- Main image

- Experimental details
- Formalin-fixed and paraffin embedded human gastric carcinoma labeled with Anti-Dnmt3a Polyclonal Antibody, Unconjugated (bs-0497R) at 1:200, followed by conjugation to the secondary antibody and DAB staining
- Sample type
- Human
- Other comments
- Stomach