Antibody data
- Antibody Data
 - Antigen structure
 - References [0]
 - Comments [0]
 - Validations
 - Immunohistochemistry [1]
 
Submit
Validation data
Reference
Comment
Report error
- Product number
 - ARG52622 - Provider product page

 - Provider
 - Arigo
 - Product name
 - anti-Calpastatin antibody (Ready-to-Use)
 - Antibody type
 - Polyclonal
 - Antigen
 - Synthetic peptide derived from near C-terminus of human calpastatin protein.
 - Description
 - Immunogen affinity purified
 - Reactivity
 - Human
 - Host
 - Rabbit
 - Isotype
 - IgG
 - Vial size
 - 7 ml
 - Concentration
 - Ready to use
 - Storage
 - Aliquot and store at 2-8°C. Do not freeze. The antibody solution should be gently mixed before use.
 - Handling
 - The antibody solution should be gently mixed before use.
 
				No comments: Submit comment	
	
			
							
					Supportive validation
					
									
				
		- Submitted by
 - Arigo (provider)
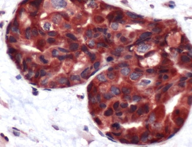
 - Main image
 
- Experimental details
 - Immunohistochemistry: Human Breast DCC stained with Calpastatin antibody (ARG52621)