Antibody data
- Antibody Data
- Antigen structure
- References [0]
- Comments [0]
- Validations
- Immunohistochemistry [11]
- Flow cytometry [1]
Submit
Validation data
Reference
Comment
Report error
- Product number
- ARG53314 - Provider product page

- Provider
- Arigo
- Product name
- anti-MSH2 antibody [SP46]
- Antibody type
- Monoclonal
- Antigen
- Synthetic peptide corresponding to internal region of human MSH2.
- Description
- Purified by protein A/G
- Reactivity
- Human
- Host
- Rabbit
- Isotype
- IgG
- Antibody clone number
- SP46
- Vial size
- 100 µl
- Storage
- Aliquot and store at 2-8°C. Do not freeze. The antibody solution should be gently mixed before use.
- Handling
- The antibody solution should be gently mixed before use.
No comments: Submit comment
Supportive validation
- Submitted by
- Arigo (provider)
- Main image

- Experimental details
- Immunohistochemistry: Human Cervix stained with MSH2 antibody [SP46] (ARG53314)
- Submitted by
- Arigo (provider)
- Main image

- Experimental details
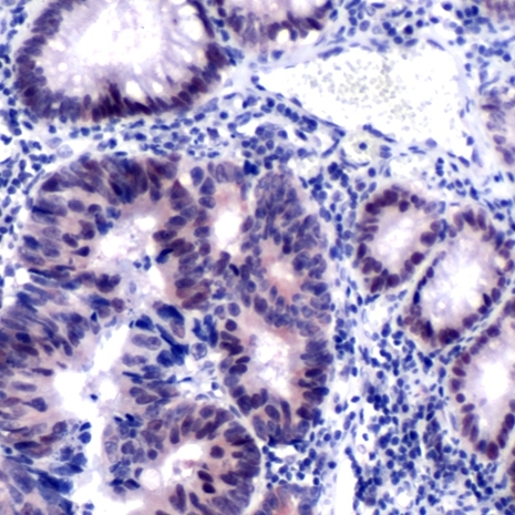
- Immunohistochemistry: Human Colon Adenocarcinoma stained with MSH2 antibody [SP46] (ARG53314)
- Submitted by
- Arigo (provider)
- Main image

- Experimental details
- Immunohistochemistry: Human Colon stained with MSH2 antibody [SP46] (ARG53314)
- Submitted by
- Arigo (provider)
- Main image

- Experimental details
- Immunohistochemistry: Human Endometrium stained with MSH2 antibody [SP46] (ARG53314)
- Submitted by
- Arigo (provider)
- Main image

- Experimental details
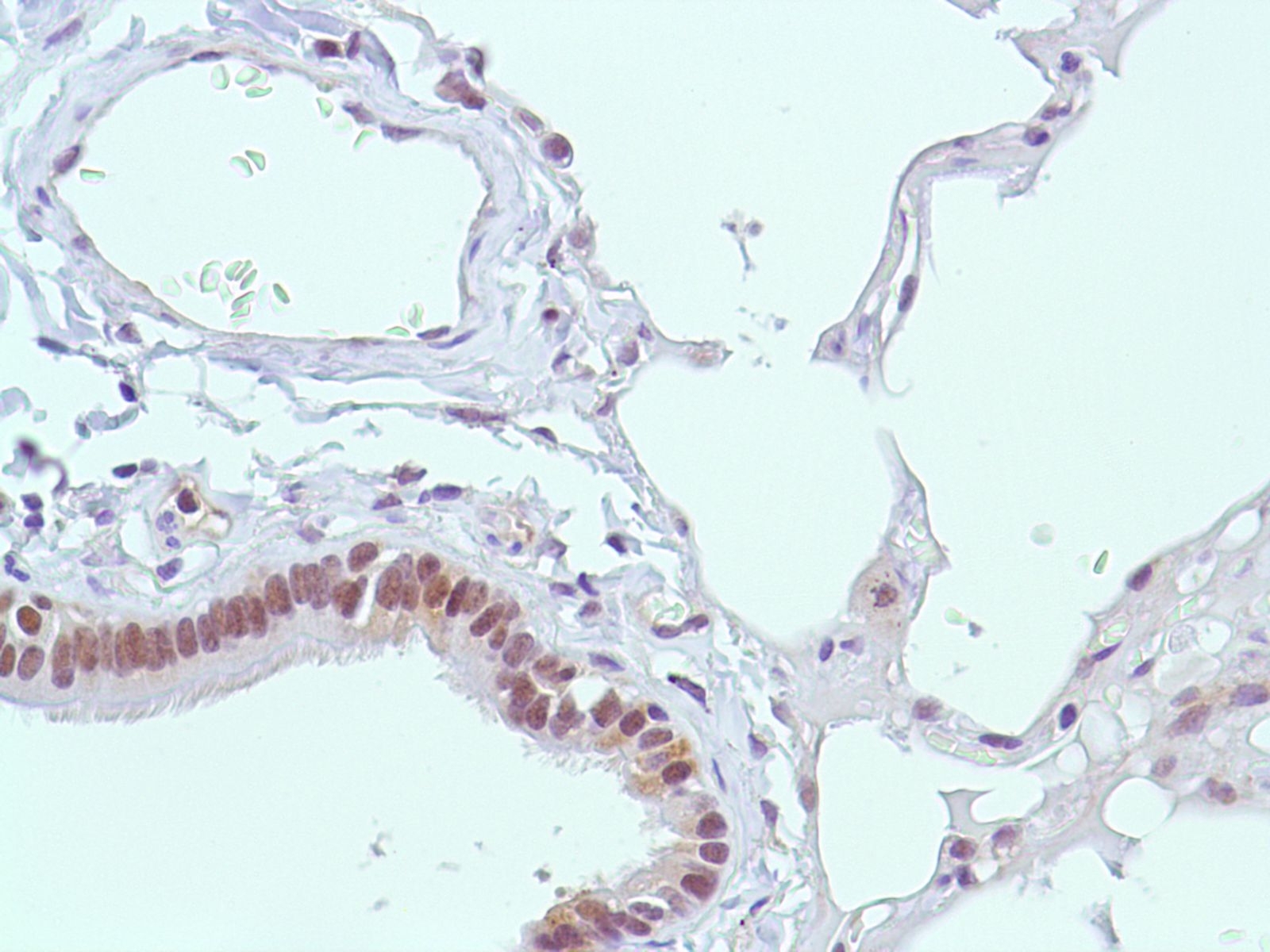
- Immunohistochemistry: Human Lung stained with MSH2 antibody [SP46] (ARG53314)
- Submitted by
- Arigo (provider)
- Main image

- Experimental details
- Immunohistochemistry: Human Placenta stained with MSH2 antibody [SP46] (ARG53314)
- Submitted by
- Arigo (provider)
- Main image

- Experimental details
- Immunohistochemistry: Human Prostate stained with MSH2 antibody [SP46] (ARG53314)
- Submitted by
- Arigo (provider)
- Main image

- Experimental details
- Immunohistochemistry: Human Skin stained with MSH2 antibody [SP46] (ARG53314)
- Submitted by
- Arigo (provider)
- Main image

- Experimental details
- Immunohistochemistry: Human Thyroid stained with MSH2 antibody [SP46] (ARG53314)
- Submitted by
- Arigo (provider)
- Main image

- Experimental details
- Immunohistochemistry: Human Tonsil stained with MSH2 antibody [SP46] (ARG53314)
- Submitted by
- Arigo (provider)
- Main image

- Experimental details
- Immunohistochemistry: Human Colon Carcinoma stained with MSH2 antibody [SP46] (ARG53314)
Supportive validation
- Submitted by
- Arigo (provider)
- Main image

- Experimental details
- Flow cytometric: HeLa cells stained with ARG53314 (green) compare to negative control of rabbit IgG (blue)