PA5-32592
antibody from Invitrogen Antibodies
Targeting: SOCS6
CIS4, Cish4, HSPC060, SOCS4, SSI4, STAI4, STATI4
Antibody data
- Antibody Data
- Antigen structure
- References [0]
- Comments [0]
- Validations
- Immunohistochemistry [1]
Submit
Validation data
Reference
Comment
Report error
- Product number
- PA5-32592 - Provider product page

- Provider
- Invitrogen Antibodies
- Product name
- Anti-SOCS6 Polyclonal Antibody
- Antibody type
- Polyclonal
- Antigen
- Synthetic peptide
- Description
- Heat-mediated antigen retrieval is recommended prior to staining, using a 10mM citrate buffer, pH 6.0, for 10 minutes followed by cooling at room temperature for 20 min. Following antigen retrieval, incubate samples with primary antibody for 10 min at room temperature. A suggested positive control is brain tissue.
- Reactivity
- Human
- Host
- Rabbit
- Isotype
- IgG
- Vial size
- 500 µL
- Concentration
- Lot Dependent
- Storage
- 4° C, do not freeze
No comments: Submit comment
Supportive validation
- Submitted by
- Invitrogen Antibodies (provider)
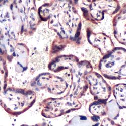
- Main image

- Experimental details
- Immunohistochemical analysis of SOCS-6 using anti-SOCS-6 Polyclonal Antibody (Product # PA5-32592) in Placenta Tissue. The recommened dilution for this antibody in immunohistochemistry applications is 1:100.