AP15782PU-M
antibody from Acris Antibodies GmbH
Targeting: SOCS6
CIS4, Cish4, HSPC060, SOCS4, SSI4, STAI4, STATI4
Antibody data
- Antibody Data
- Antigen structure
- References [0]
- Comments [0]
- Validations
- Immunohistochemistry [1]
Submit
Validation data
Reference
Comment
Report error
- Product number
- AP15782PU-M - Provider product page

- Provider
- Acris Antibodies GmbH
- Proper citation
- Acris Antibodies GmbH Cat#AP15782PU-M, RRID:AB_10977825
- Product name
- anti SOCS6 / CIS4 (C-term)
- Antibody type
- Polyclonal
- Antigen
- Synthetic peptide corresponding to C-terminal of human SOCS-6 protein.
- Reactivity
- Human, Mouse
- Host
- Rabbit
- Vial size
- 0.5 ml
No comments: Submit comment
Supportive validation
- Submitted by
- Acris Antibodies GmbH (provider)
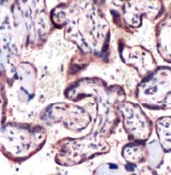
- Main image

- Experimental details
- AP15782PU SOCS6 antibody staining of Human Placenta.