Antibody data
- Antibody Data
- Antigen structure
- References [6]
- Comments [0]
- Validations
- Western blot [1]
- Immunohistochemistry [1]
- Blocking/Neutralizing [1]
Submit
Validation data
Reference
Comment
Report error
- Product number
- AF971 - Provider product page

- Provider
- Novus Biologicals
- Product name
- Goat Polyclonal TIMP-2 Antibody
- Antibody type
- Polyclonal
- Description
- Antigen Affinity-purified. Detects human and mouse TIMP-2 in direct ELISAs and Western blots. In direct ELISAs, less than 2% cross-reactivity with recombinant human TIMP-4 is observed.
- Reactivity
- Human, Mouse
- Host
- Goat
- Conjugate
- Unconjugated
- Isotype
- IgG
- Vial size
- 100 ug
- Concentration
- LYOPH
- Storage
- Use a manual defrost freezer and avoid repeated freeze-thaw cycles. 12 months from date of receipt, -20 to -70 degreesC as supplied. 1 month, 2 to 8 degreesC under sterile conditions after reconstitution. 6 months, -20 to -70 degreesC under sterile conditions after reconstitution.
Submitted references Bone-derived Nestin-positive mesenchymal stem cells improve cardiac function via recruiting cardiac endothelial cells after myocardial infarction.
Human umbilical cord plasma proteins revitalize hippocampal function in aged mice.
Mitral tissue inhibitor of metalloproteinase 2 is associated with mitral valve surgery outcome.
Inhibition of airway epithelial-to-mesenchymal transition and fibrosis by kaempferol in endotoxin-induced epithelial cells and ovalbumin-sensitized mice.
Fibroblast-conditioned media promote human sarcoma cell invasion.
Coregulation of vascular tube stabilization by endothelial cell TIMP-2 and pericyte TIMP-3.
Lu D, Liao Y, Zhu SH, Chen QC, Xie DM, Liao JJ, Feng X, Jiang MH, He W
Stem cell research & therapy 2019 Apr 27;10(1):127
Stem cell research & therapy 2019 Apr 27;10(1):127
Human umbilical cord plasma proteins revitalize hippocampal function in aged mice.
Castellano JM, Mosher KI, Abbey RJ, McBride AA, James ML, Berdnik D, Shen JC, Zou B, Xie XS, Tingle M, Hinkson IV, Angst MS, Wyss-Coray T
Nature 2017 Apr 27;544(7651):488-492
Nature 2017 Apr 27;544(7651):488-492
Mitral tissue inhibitor of metalloproteinase 2 is associated with mitral valve surgery outcome.
Lin TH, Yang SF, Chiu CC, Su HM, Voon WC, Chai CY, Lai WT, Sheu SH
PloS one 2014;9(1):e86287
PloS one 2014;9(1):e86287
Inhibition of airway epithelial-to-mesenchymal transition and fibrosis by kaempferol in endotoxin-induced epithelial cells and ovalbumin-sensitized mice.
Gong JH, Cho IH, Shin D, Han SY, Park SH, Kang YH
Laboratory investigation; a journal of technical methods and pathology 2014 Mar;94(3):297-308
Laboratory investigation; a journal of technical methods and pathology 2014 Mar;94(3):297-308
Fibroblast-conditioned media promote human sarcoma cell invasion.
Bittner JG 4th, Wilson M, Shah MB, Albo D, Feig BW, Wang TN
Surgery 2009 Jan;145(1):42-7
Surgery 2009 Jan;145(1):42-7
Coregulation of vascular tube stabilization by endothelial cell TIMP-2 and pericyte TIMP-3.
Saunders WB, Bohnsack BL, Faske JB, Anthis NJ, Bayless KJ, Hirschi KK, Davis GE
The Journal of cell biology 2006 Oct 9;175(1):179-91
The Journal of cell biology 2006 Oct 9;175(1):179-91
No comments: Submit comment
Supportive validation
- Submitted by
- Novus Biologicals (provider)
- Main image

- Experimental details
- Detection of Human TIMP-2 by Western Blot. Detection of Human TIMP-2 by Western Blot.
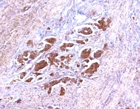
Supportive validation
- Submitted by
- Novus Biologicals (provider)
- Main image

- Experimental details
- TIMP‑2 in Human Ovarian Cancer Tissue. TIMP‑2 in Human Ovarian Cancer Tissue.
Supportive validation
- Submitted by
- Novus Biologicals (provider)
- Main image

- Experimental details
- Neutralization of TIMP-2 Activity by Human TIMP-2 Antibody. Neutralization of TIMP-2 Activity by Human TIMP-2 Antibody.