Antibody data
- Antibody Data
- Antigen structure
- References [7]
- Comments [0]
- Validations
- Western blot [1]
- Immunohistochemistry [1]
Submit
Validation data
Reference
Comment
Report error
- Product number
- sc-598 - Provider product page

- Provider
- Santa Cruz Biotechnology
- Proper citation
- Santa Cruz Biotechnology Cat#sc-598, RRID:AB_2175453
- Product name
- Anti-RAB5B
- Antibody type
- Polyclonal (Antigen purified)
- Antigen
- Synthetic peptide
- Reactivity
- Human
- Host
- Rabbit
Submitted references Large-scale quantitative LC-MS/MS analysis of detergent-resistant membrane proteins from rat renal collecting duct.
G protein-coupled receptor-promoted trafficking of Gbeta1gamma2 leads to AKT activation at endosomes via a mechanism mediated by Gbeta1gamma2-Rab11a interaction.
LC-MS/MS analysis of differential centrifugation fractions from native inner medullary collecting duct of rat.
Interaction of amyotrophic lateral sclerosis (ALS)-related mutant copper-zinc superoxide dismutase with the dynein-dynactin complex contributes to inclusion formation.
Inhibitors of protein geranylgeranyltransferase I and Rab geranylgeranyltransferase identified from a library of allenoate-derived compounds.
Small interfering RNA profiling reveals key role of clathrin-mediated endocytosis and early endosome formation for infection by respiratory syncytial virus.
Large scale protein identification in intracellular aquaporin-2 vesicles from renal inner medullary collecting duct.
Yu MJ, Pisitkun T, Wang G, Aranda JF, Gonzales PA, Tchapyjnikov D, Shen RF, Alonso MA, Knepper MA
American journal of physiology. Cell physiology 2008 Sep;295(3):C661-78
American journal of physiology. Cell physiology 2008 Sep;295(3):C661-78
G protein-coupled receptor-promoted trafficking of Gbeta1gamma2 leads to AKT activation at endosomes via a mechanism mediated by Gbeta1gamma2-Rab11a interaction.
García-Regalado A, Guzmán-Hernández ML, Ramírez-Rangel I, Robles-Molina E, Balla T, Vázquez-Prado J, Reyes-Cruz G
Molecular biology of the cell 2008 Oct;19(10):4188-200
Molecular biology of the cell 2008 Oct;19(10):4188-200
LC-MS/MS analysis of differential centrifugation fractions from native inner medullary collecting duct of rat.
Sachs AN, Pisitkun T, Hoffert JD, Yu MJ, Knepper MA
American journal of physiology. Renal physiology 2008 Dec;295(6):F1799-806
American journal of physiology. Renal physiology 2008 Dec;295(6):F1799-806
Interaction of amyotrophic lateral sclerosis (ALS)-related mutant copper-zinc superoxide dismutase with the dynein-dynactin complex contributes to inclusion formation.
Ström AL, Shi P, Zhang F, Gal J, Kilty R, Hayward LJ, Zhu H
The Journal of biological chemistry 2008 Aug 15;283(33):22795-805
The Journal of biological chemistry 2008 Aug 15;283(33):22795-805
Inhibitors of protein geranylgeranyltransferase I and Rab geranylgeranyltransferase identified from a library of allenoate-derived compounds.
Watanabe M, Fiji HD, Guo L, Chan L, Kinderman SS, Slamon DJ, Kwon O, Tamanoi F
The Journal of biological chemistry 2008 Apr 11;283(15):9571-9
The Journal of biological chemistry 2008 Apr 11;283(15):9571-9
Small interfering RNA profiling reveals key role of clathrin-mediated endocytosis and early endosome formation for infection by respiratory syncytial virus.
Kolokoltsov AA, Deniger D, Fleming EH, Roberts NJ Jr, Karpilow JM, Davey RA
Journal of virology 2007 Jul;81(14):7786-800
Journal of virology 2007 Jul;81(14):7786-800
Large scale protein identification in intracellular aquaporin-2 vesicles from renal inner medullary collecting duct.
Barile M, Pisitkun T, Yu MJ, Chou CL, Verbalis MJ, Shen RF, Knepper MA
Molecular & cellular proteomics : MCP 2005 Aug;4(8):1095-106
Molecular & cellular proteomics : MCP 2005 Aug;4(8):1095-106
No comments: Submit comment
Supportive validation
- Submitted by
- per
- Main image

- Experimental details
- Western blot analysis of antibody specificity using a routine panel composed of IgG/HSA-depleted human plasma and protein lysates from selected human tissues and cell lines.
- Validation comment
- Single band corresponding to the predicted size in kDa (+/-20%).
- Primary Ab dilution
- 1:500
- Secondary Ab dilution
- 1:3000
- Lane 1
- Marker [kDa]: 219, 111, 83, 48, 32, 26, 17
- Lane 2
- RT-4
- Lane 3
- U-251MG sp
- Lane 4
- Human Plasma
- Lane 5
- Liver
- Lane 6
- Tonsil
- Theoretical target weight
- [kDa] 24
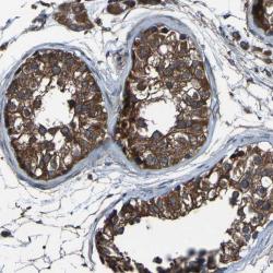
Supportive validation
- Submitted by
- per
- Main image

- Experimental details
- Immunohistochemical staining of human testis shows strong cytoplasmic positivity in cells of seminiferus ducts.
- Validation comment
- Staining pattern consistent with experimental and/or bioinformatic data.